上大学想戴牙套,父母不在身边,自己去医院弄好不好。?
已经上大学了,要学着独立了。
其次,如果去的是正规的医院或诊所,父母在不在没有区别。
我先来说说我的经历吧,看了好多人的回答,我觉得他们说的都挺对的,也差不多是我想告诉你的,而我这篇长篇大论的,还不一定面面俱到,纯分享个人牙套历程(主 要 是 现 在 比 较 闲)
牙齿不整齐一直是我从小到大的一个痛,不能开怀大笑确实挺困扰的,甚至自卑。小时候听说整牙差不多两千的样子,可一向听话懂事体贴入微善解人意的小可爱我不想给父母增加负担开支什么的就一直没有向他们诉说这方面困扰和整牙的心愿。

直到上了大学,在大一的时候认识了跟我同样牙齿不齐的同学冰冰,她想做正畸的心比我要热烈,鼓动我一起到处找医院挑医生,其实我现在想想真的挺庆幸有她的,不然我肯定到现在都没有勇气去踏出这条长达几年艰辛与痛苦的牙套之路,因为我性格是很优柔寡断,总习惯于逃避问题,会有很多顾虑: 钱、年龄(觉得都20了会不会已经晚了)。
我们真的是跑了多趟医院面诊了好几位医生,最后找的是学姐推荐的离学校最近的一家公立医院里的口腔科姓胡的女医生。顺便提一下找医生也是很重要的哦~
因为离校最近、费用是我们学生能接受的,还有胡医生那一句在看完我们不同牙齿情况后我们问多久能把牙套摘掉给予的很有自信与爽快的保证:“一年就可以了”。
并且可以不用一次性付完全款,谈好的价格是四千,要戴的是传统的那种钢铁丝箍的牙套。先付一千五,之后看我们,有就一点一点把余款给了,非常的人性了。
当然,我一开始是瞒着父母的,将节省下来的生活费加上空余时间做兼职赚的钱一起付了首款。即使他们也都在我上学的城市,隔三差五就要去见他们,肯定迟早会露馅儿的,但我是想着牙套先戴上,他们想不同意也已经晚了。
回到家坦然地冲他们咧嘴一笑 ′▽` ,他们意外地没有说我,相反表情很是惊喜的盯着我说:“欸你怎么想着戴牙套了?” 我就把我从小一直以来的心理负担倾诉了一下。
没想到老妈说:“你小时候就想过要不要带你去,还记得那个阿姨说大概是两千块,但是说会很痛,怕你承受不住,我也不忍心,要知道你这么在意就一定早早带你去了”。
更没想到老爸关心的是:“有没有查做这个矫正牙齿的最好的医院是哪个?”
我:“ 华西医院(就在我们所在的城市成都),可是好贵要一万多。”
老爸:“那就去呀,要是做得好贵一些我也愿意出钱让你去更好的地方做。”
(? ̄? ??  ̄??)我当时差点热泪盈眶了,老爸问还有多少钱没付,他给我了。真的,从没想到父母的态度是这样的,开口前预想了无数次场景,却是如此温馨感人。我真傻,那么爱我的父母怎会不希望我好。老妈还亲昵抱着我兴高采烈的说:“这下好了,本来就很漂亮,牙齿弄好看了不就成大明星了!”
我:“……”
世上母亲是不是都这样?

———下面我要说一个挺难为情的小插曲———

就在第一次见到胡医生的那一天,在沟通的时候她让她的一位病人下来给我们看现在的牙齿情况,这个女孩子是外地专程过来的所以住在医院里,已经有一段时间了,年龄比我们还大一些。
我一直以为戴牙套的过程是麻醉了,然后做手术用某种手段直接一次性把所有牙齿都掰齐了然后戴上铁的牙套固定住不让松了的牙齿摇晃掉落,戴上个一年慢慢恢复重新在牙龈里长牢,完美 ~
而且以前无论看的电视里或者正巧生活中遇见过的戴牙套的人都是牙齿整整齐齐的,所以在看到这位牙齿依旧不齐牙套钢丝歪歪扭扭的箍在上面的女生时完全震惊了,小小的脑袋大大的疑惑?_?
胡医生还很满意的夸耀自己弄得怎么怎么好,那个女生也充满了对未来一片美好充满希望的笑容。旁边冰冰也没有任何异样,投去因羡慕而亮晶晶的目光。只有我表面呆若木鸡内心慌得一匹…

细声细语弱弱地问了一句:
“这,这不是没弄好么?”
所有人错愕的看着我,“嗯??????”
“为…为什么牙还不是齐的?” 说完我马上懊悔心里os(是不是这女生牙齿比较严重只能弄成这个程度了?或许这是她能矫正的最好程度了?看着她心满意足的神情我是不是不该戳穿?)
“什么呀,这是要一点一点矫正的,不是一下子就可以弄齐的。” 冰冰立马反应过来给我解释。接着胡医生详细给我解释了一下,我第一次正式了解牙齿正畸究竟是怎么一回事。
【 接下来要好好说下关于我的牙齿矫正细节,嗯…内容过于真实胆小的话可以跳过,不然我怕看了就不敢去做正畸了。毕竟我当时就是不知者无畏的去了哈哈哈~】


(>﹏<) 我先是被拔了四颗牙
胡医生说太挤了。记得其中一颗牙还是医生拿着一“撬子”插入牙根与牙龈之间,让一旁的冰冰拿锤子敲的。然后大老虎钳一样的工具用力地拔,打过麻醉针后嘴唇触碰到钳子还是能感觉到冰冷的寒意,牙齿小小的滑溜溜的很难拔,再敲几下,用力一拔,牙齿包裹着牙龈肉一起被拔了下来。
( ̄▽ ̄)回想一下其实我更心疼冰冰,哆哆嗦嗦地敲了下去还被胡医生一个劲儿地要求再使点力,用力!用力!要是我的话我肯定是下不去手的~~~~~拔完之后便有了四个大窟窿,之后定期去重新调钢丝,空隙也慢慢缩小直到所有牙齿都平整地挨在了一起。
女生一定是选在大姨妈没来的时候拔牙,我四颗牙是分了两趟去的,不过是出于一下子拔四颗挺痛苦的考虑。
拔完牙即便我自己是觉得一直有紧紧咬住塞入伤口的大团医用棉,可那两次的头几天早上醒来嘴巴都是一股浓浓的血腥味,忍不住干呕。但更痛苦的在后头,刚开始上牙套是每周去一趟复诊,钳子将钢丝扭开取下,再换上新剪的钢丝而且以后上下两条主钢丝会越来越粗,每去一趟回来之后会痛一周,面条、面包都啃不动,用嘴巴抿断的,牙齿非常酸痛,啊还有粥,我那时吃得基本上就是这些。后来时间长了,一个月去一次,再就是几个月…牙齿还是在一周后就不痛了,我还能撸串吃火锅啃小龙虾!但最好还是不要啃硬物啥的。
附上几张那时的照片







原本像我的情况一年就可以弄好的,但我并没有定期去复诊,后期经常拖,越拖越久。都No face说实际花了几年才结束。

反正最后一次消失人口前去复诊,医生叹了口气说可以了,牙套可以摘了(她一定是不愿再陪我马拉松长跑了)我不敢置信地刷完牙后又做了透明保持器戴上,这是之前说好的不收费的,这个也要坚持戴上几个月,好像被我戴了一个月之后就彻底地躺在了抽屉。现在的我能嗑瓜子能啃甘蔗,给自己鼓掌~~~~~~

就酱紫,我最大的心病被拔除啦 在看到戴牙套时的我或者之后听说我矫正过牙齿的人都会喜欢这么说:“小姑娘就是这么爱美,那么痛都对自己下得去手”。我都会说,这不能完全说是爱美吧,对于我来说,只是想变得正常而已,就好比从生下来某个部位畸形而容易引来眼光,你这怎么是这个样子。只是希望能是个正常的胳膊正常的腿,不影响走路,同理正常的牙齿不影响吃饭,牙齿不整齐除了不美观还有很多其他不便的问题呀。对了,有些妹纸如果不是太严重的话还是不要受这个苦了,可以给你们看下我以前的牙齿。
石膏模型https://www.zhihu.com/video/1150196879743787008
不方便看视频的话我也放上了图片
如图所示
右面

左面

门牙明显一前一后,下牙凌乱
可以看出还是比较糟糕的,但好在每颗牙都很健康没有蛀牙或牙敏感等等其他一些牙齿问题,只是乱。很奇怪我的家人牙齿都很整齐,就我一个严重到如此地步…说不过去啊?_?
所以当遇到少量牙齿之间有些缝隙的,还有一颗虎牙稍微突出的人询问我意见,想要更加完美的心我理解,不过我是觉得为了一两颗牙动所有健康的牙齿不太好。题主要是牙齿有做正畸治疗必要的话,建议你大胆地去做,最好选个离学校近的方便之后的定期复诊,我觉得没有比我懒的人了,一定会弄得比我好的!像其他答主说的,拔牙让关系比较好的舍友或好朋友陪同,不一定非要家长的,因为正畸这个技术早已很成熟啦并且已经很普遍了所以不用太担心。要是能事先跟父母说一声的话说不定还能去做更好的隐形、半隐形牙套。

对了,做正畸其实还有一个更让人关心的话题,就是说戴完牙套脸型都会变好了,不能完全这样定论。
如果只是单单牙齿不齐让包裹的嘴唇突出、龅牙等问题解决完能有明显的改善效果,或者是期间因为吃不好变瘦脸小一圈,顶多会这样。
以下引用自百度百科:
“但要是从小因牙合问题(像地包天、上下颚突出)导致的颌面部不正常发育,要是没有在小时候及时矫正,成年后的面部和骨骼已基本定型了,要通过牙齿矫正治疗根治,只有结合牙齿矫正和颌面外科手术的方法,才能矫正成年人颌骨发育的偏差。在矫正儿童颌部骨骼发育异时使用的功能矫正器,一般来说在成年人身上使用并不成功。”
像我的话,只是上嘴唇一边部分没有被翘起的门牙顶得突起来。脸型并没有出现正畸后带来不应该有的其他变化
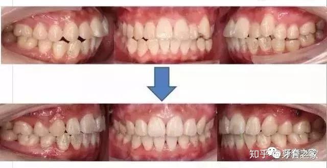
最后附上我个人的对比图:
之前根本不敢笑开

门牙平整了

给你们看我老妈的牙齿很整齐
现在的我肯定会更自信了呀,变得很爱笑了,但拍照还是很少露大牙笑^ - ^。

所以,题主想戴牙套那就戴呀,不会晚的,当然,越早越好。找好医生,确认好价格之后别再产生其他费用,坚持复诊,没什么大问题的,不用担心!这是我很庆幸的一件事情从不后悔。
当然是可以滴!不过最好提前跟父母沟通下,戴牙套得到父母的支持也会倍感幸福啦!
不过悄咪咪告诉你小编其实是偷偷自己去拔牙戴牙套后才跟父母说的,父母辈对牙齿矫正的认识不全,一开始会比较反对啦,后面慢慢解释沟通就好啦)
矫正牙齿是一段长达两年左右或以上的重要大事,所以在找医生医院方面要下点功夫,找到靠谱认真负责的医生一定会给戴牙套的你更多帮助。
关于选择医生给你一点小建议:
这里分为公立医院和私立医院两个部分。
公立医院相对就比较简单,可以挑选当地的市人民医院,市口腔,挂主任医师的号,一般都不错的。可是公立医院经常出现一个问题,专家比较难预约,需要有点点运气,所以这个时候要么考虑公立医院里名气没那么大的医生要么考虑私立医院。
因为有些同学会考虑私立,但又担心私立坑,所以小编分享几个要点给大家,以下的内容也适用公立医生的选择。
1、 看医生的毕业院校和学历,如华西口腔、北大口腔、中山大学、武汉口腔等学校,选择研究生或者博士正畸学学历的医生;
2、 看医生的资质,如WFO(世界正畸学会联盟)、AAO(美国正畸专委会)、COS(中华口腔正畸专业医师认证委员会员)、英国爱丁堡皇家外科学院正畸专科院士等。这点适合高阶牙友使用;
3、利用互联网看医生做过的案例,很多医生自己会在微博或者朋友圈分享矫正的案例,牙友也会主动分享自己的正畸经历,像知乎贴吧或者我们论坛都可以搜到各地区很多牙友的分享;
4、 一个更快捷的靠谱方法——选择一些多点执业的专家或者从公立医院出来创业的专家,这样子既可以预约到专家也可以省去排队的烦恼;
关于医院和医生的选择还想补充两点:
①选择方便就诊的医生,正畸过程需要复诊,周期大概为一个到一个半月一次,如果是异地的话相对比较麻烦;
②建议多去面诊几个医生,每个医生的方案可能会不一样。多几个选择,也可以判断哪个医生比较适合你。
说完医生选择建议,到今天的正事啦,下面是经历分享(来自牙友“MIiaoZHang”心得分享,未经允许,不能转载哦)
我的牙齿从小就不整齐,从来不敢露牙齿出来 。小时候怕疼就一直没有戴牙套。
慢慢上大学了想整牙的心情愈演愈烈,实在是太羡慕身边牙齿整齐的朋友了。
矫正后的大白牙
没戴牙套之前的牙齿
那时候又担心年龄大了戴牙套会不会不好等一些顾虑又纠结了很长时间。偶然间从微博关注了黄医生就在微博简单咨询了一下就约好时间去看诊了。
第一次黄医生还以为是二十几岁的小姑娘,当时还在担忧会不会没有经验,后来才知道原来是经验丰富的老司机啦。只能说黄医生太显嫩了一点都不显年龄~
那时候黄医生还在口院 ,每次去复诊都要挂号 人多还要排队很久。后来黄医生换了工作地我也就跟着换了牙科这边复诊了。

我牙齿最大的问题就是门牙外突有个虎牙,咬合关系特别不好,所以开始正畸的时候就拔了四颗牙,感觉我算是适应加恢复条件比较好的从戴牙套开始就没有控制过饮食鸭脖什么的都会啃,当然大家不要学我噢。
刚戴牙套的时候
以前总是不好意思露牙齿笑的我,自从带上了牙套每次拍照必露牙套,朋友们都说我变得自信多了。
牙套一年左右

从去年五月份到现在已经一年零七个月,牙齿已经完全排齐咬合也彻底调整好了,值得炫耀一下~最重要的是侧脸也发生了很大的变化,嘴巴突的问题彻底改善了。



托槽从开始到现在一次都没掉过也没有出现过嘴巴被钢丝划烂的现象,感谢医生的温柔和技术。



2017年12月21日拆掉陪伴一年七个月的牙套。
早戴早变美哦,现在上大学带牙套正好,牙套也有便宜的,一般都是父母求着孩子带牙套来着,不过带牙套之后要总是跑牙医那里去,而且每次换钢丝牙会很疼,要做就要有心理准备!
不管有没有家长带,都要注意避坑,现在大大小小的口腔医院数不甚数,即使是有一定社会阅历的父母在陌生的领域都容易被坑,建议去之前先做功课。怎么选医院,怎么选医生,矫正的价格是多少,都要清楚,这样才不容易踩坑。
下面就详细说说如何做功课。
目前市面上大大小小的口腔医院/机构可以分为以下三类:
各省的省口腔医院或者市口腔医院、人民医院等这些公立医院,医生的资源比较多,医生实力强,技术高,可以应对各种疑难杂症,缺点是挂号难,经常一挂就是半年一年的,就诊不方便,而且经常会出现挂专家号,但是实际上是实习生给你操作的现象,而且价格也是比较贵。


准备矫正、种植牙的小伙伴可以通过下面这个查询系统搜索,里面全面地收录了全国各地正畸、种植牙技术排名靠前的医院和医生,还有具体的医生资质信息、过往详细案例作为参考,并提供报价对比,一站搞定各种问题,能提前帮助大家全面做功课!
私立口腔门诊虽然整体上医生水平比不上公立医院,但是一般情况只要是稍微大型一点的机构,都会有那么一两个不错的医生,私立口腔的好处在于不用担心哪个医生能不能预约上,一般预约好时间过去就行了,不需要等待太久,服务态度也会比较好,一般都是实行一人一诊,所以你有问题都能及时得到解决,就诊体验感好,私立口腔机构是可以自主定价的,有很多时候他们因为市场价格竞争会搞一些优惠活动,而且对于一些挂号费,检查费可能会减免,所以价格会实惠很多。

关于价格,一般情况是:省口腔医院>附属口腔医院/综合三甲口腔科>市口>私立。
收费标准每家医院也各有不同,至于最终你做下来多少钱,这个就要看你怎么讲价,以及医院的活动情况,价格定位情况了。不过公立是没有讲价和活动这一说的,去公立看过牙的应该都知道。总体来说,私立医院的价格,算是最低的。
这类门诊/机构不推荐,像医美机构下属的口腔科、街边夫妻店型的小诊所不做推荐,因为这类机构踩雷的概率比较高,医生资质比较难考究,存在的营销成分大。
当然大的小的正规医院都可以选,只要能把牙齿成功做好,省口腔、小门诊都行,再权威的医院也会出现失败的案例,要提高成功的概率,最重要的还是选择一个靠谱的医生。
挑选口腔医生首先要是注册的合格医生,在口腔问题上非法行医大概率就是踩坑。这里可以通过http://zgcx.nhc.gov.cn:9090/doctor卫健委官方查询是否是正规注册医生。

其次要着重关注医生的资质经验和医德,进行全面挑选。准备矫正、种植牙的小伙伴可以通过下面这个查询系统搜索,里面全面地收录了全国各地正畸、种植牙技术排名靠前的医院和医生,还有具体的医生资质信息、过往详细案例作为参考,并提供报价对比,一站搞定各种问题,能提前帮助大家全面做功课!
正畸是个新兴的学科,本科生阶段是没有在临床上学过正畸的,最多也就是一些理论知识。只有在硕士、博士阶段才会系统地学习正畸的知识,所以要求硕士及以上。再看院校,一般来说,在口腔正畸领域,国内公认的排名靠前的有这八大院校(排序不代表排名):四川大学华西口腔医院、北京大学口腔医学院、上海交通大学口腔学院附属口腔正畸科、第四军医大学口腔医学院、武汉大学口腔医学院、中山大学光华口腔医学院、同济大学附属口腔医院、首都医科大学口腔医学院

职称最好是主治医师以及以上职称,副主任医师以上最好,普通执业医师要看他的工作经验和口碑。这里注意助理医师是没有手术资格的。
比如某某口腔协会的委员(注意不是会员),某某专业讲师,教授副教授、博导、tweed中心教官等都是不错的头衔,其他的像什么协会会员、XX牙套认证医师,院长总监之类的没什么参考价值。

医生也是一个越老越吃香的职业,年龄越大意味着经验越多,一般建议找5年以上工作经验的医生,当然也不能作为绝对的判断,也是相对来说。
医生的案例也是他水平的侧面反映,看案例的数量和质量。数量上,500以上就有比较有参考价值。
通过某团、某评等第三方电商平台看看其用户的评价评分,或者下面的查询系统,咨询医生信息。《全国口腔医院/医生系统查询系统》,收录了全国各地的优质门诊和医生,免费咨询。
对医生的资质进行初步的评估之后,专业能力比较认可的话,就可以预约医生进行面对面沟通正畸方案了,这个阶段主要看的其实是医生的个人品质和专业性,比如他耐不耐心,态度好不好,对你的牙齿问题解读专不专业,你们的沟通顺不顺畅等等,如果医生态度傲慢,对患者毫无耐心,那么就算这个医生再厉害也不要选择。 和医生沟通的目的除了了解医生的个人品质之外,还要了解一下医生的初步方案,了解医生是否会根据需要来设计拔牙。

牙齿矫正一定要选专业靠谱的医生,不当的适应症把控和方案设计都会造成很多问题,轻则达不到治疗效果,牙齿排不齐,咬合调不好,脸型没改善。重则牙根穿出牙槽骨,牙齿松脱,牙根吸收。
牙齿矫正在正规医院普遍费用范围在5k~6w
每个人的牙齿情况不同,收费也会不同,还有选择的医院、牙套都是影响价格的因素,具体不知道题主是什么情况,故不好下结论,各位朋友可以看看哪些因素影响价格,再结合自身情况,在矫正之前对价格也有个大概的判断。
第一个,选择的矫正牙套:牙齿矫正的工具---牙套,随着牙齿矫正的技术不断发展,牙齿矫正的材料也多种多样,在市面上出现了,金属牙套,陶瓷牙套,自锁牙套,隐形牙套,舌侧牙套五种类型的牙套供大家选择,每款的价格也各不相同的。对于牙套的选择最重要的还是听取医生的建议,和自己的消费水平而定的。

第二个,患者牙齿复杂程度:每个人的口腔情况都不一样,牙齿畸形的程度、矫正的难度等都会不同,根据个人错颌的特点和程度的情况,医院在收费价格上也是不一样的。患者牙齿复杂,需要较长治疗周期和较多的治疗手段时,那就要根据医生的反馈做出合理的价格调整了。

第三个,选择的医院:医院也是影响价格的因素,其中公立医院普遍价格高于私立医院,价格中也不排除与各地区的消费水平有关(北京上海这些地方)。
很多患者朋友认为公立医院医生质量要比私立医院高,其实并不是这样,现在很多专家响应国家的多点执照经营,不少私立医院都配有专业水平高的医生,找到他们就可以了!
第四个,医生的选择:技术不同的医生手里做矫正手术,出来的效果会差很多!因此医生技术越好,相对收费就越高,正如一般医生和专家的挂号费一样。

以上就是影响价格的所有因素了,做牙齿矫正,考虑价格的同时一定不能忘了最关键的因素,矫正医生,医生是直接影响我们矫正成功与否的关键,毕竟最后牙齿矫正成功才是各位小伙伴要的结果。准备正畸、种植牙的小伙伴可以通过下面这个查询系统搜索,里面全面地收录了全国各地正畸、种植牙技术排名靠前的医院和医生,还有具体的医生资质信息、过往详细案例作为参考,并提供报价对比,一站搞定各种问题,能提前帮助大家全面做功课!
