成年男子睾丸仅有「豌豆」大小?这种情况,千万别耽误!

  如果不是病历上清楚地写着「年龄 19 岁」,我很难把眼前的小林(化名)跟他的实际年龄联系起来。

  #1坐在面前的他,面容娇好、皮肤白皙、声音纤细,说几句话就止不住「咯咯」地笑,调皮中带着些许可爱,让人忍俊不禁。与他的活泼开朗相比,陪同他来就诊的父亲却是一脸愁云惨淡。小林的父亲说:小林从小就很聪明乖巧,学习成绩一直在中等水平,性格乐观开朗。但是上初中以后,班里的男孩子们开始变声、喉结突出、长胡须,身高也蹭蹭蹭地往上涨,而小林却迟迟没有动静,依旧是面白无须、奶气童声,身高虽然也在稳步增长,但远不如同龄人那般突飞猛进......大家都说男孩子发育晚一点很正常,因此一开始家里人都没太当回事,也没想过需要到医院检查,心想过几年应该就好了。一晃眼就到了现在,眼瞅着小林到了成年人的年龄,容貌却仍是一副少年模样。亲戚朋友都说这孩子是不是「内分泌失调」了,这才想着到我们内分泌科看看。听完他父亲的描述,我忍不住又仔细地打量了他:皮肤细腻,没有这个年纪男孩子常见的油光满面和痤疮;唇边和下颌都看不到胡须生长;喉结也不太明显。很明显,小林有青春期发育迟缓的问题。

  #2男性青春期发育迟缓在临床上并不罕见,最常见的病因就是体质性青春发育延迟——绝大多数的男孩会在 14 岁之前出现青春发育表现,然而有少数人发育时间会延迟到 18 岁甚至更晚,但他们最终成年后的身高、第二性征都是正常的。这种体质性的发育延迟经常伴有家族史,患儿的直系亲属例如父亲、哥哥等往往也有类似的情况出现。经过检查确诊属于这种情况的患者,一般不需要特殊处理,只要随访观察,必要时使用小剂量的睾酮补充就可以了。当然了,除了生理性的发育延迟,男性青春期发育迟缓还有很多其他的病因例如:垂体激素分泌障碍、营养不良、克莱恩费尔特综合征(Klinefelter 综合征)等众多病因,需要医生仔细一一鉴别。为了获得更多有关病因的线索,我让小林脱去衣裤平躺到诊查床上,以进一步查体:腋毛和阴毛都略显稀疏,乳房无发育,阴茎明显较同龄人短小,最关键的一点——两侧睾丸都只有豌豆粒大小,明显没有发育。● 正常成人的睾丸体积在 12 mL 以上,小林的睾丸大约只有 1 mL 左右。图 1:睾丸体积测量仪,数字代表对应睾丸体积来源:网络检查完以后,我问了小林最后一个问题:平时,你的鼻子对味道灵敏吗?他连忙说:我平时都闻不到什么味道,所以吃饭也吃得不香,我妈总说我就是因为饭吃得太少才没别人长得快...... 说罢,小林又「咯咯」地笑了起来。可我却笑不出来了。我跟他爸爸说:您的孩子发育不好可能是一种很罕见的内分泌疾病所导致的,建议他住院完善一些检查,明确诊断,明确了病因后才能进行治疗。

  #3小林身高 163 cm,上部量 79 cm,下部量 85 cm,指尖距 166 cm,下部量 >上部量,指尖距 > 身高。体重 65 kg,BMI 24.4。非勃起状态,阴茎长度约 3 cm,阴毛 Tanner Ⅱ 期,睾丸体积约 1 mL。嗅觉测试显示:无法分辨酒精、白醋和水的气味,提示存在嗅觉障碍。图 2:男性阴毛 Tanner 分期来源:网络为了证实我的猜测,明确小林第二性征发育迟缓的病因,我们为他开具了一系列的检查:性激素全套、甲状腺功能、皮质醇、ACTH 节律、睾丸彩超、垂体 MRI 平扫 + 增强、双侧手正位片(骨龄)......内分泌的专科检查,大多与激素有关。一方面,人体的激素例如垂体激素,呈现脉冲式分泌,水平波动很大,此外,部分激素的分泌又存在的明确的昼夜节律,所以往往需要多次抽血来评估真实的激素水平。另一方面,由于内分泌系统存在各种功能轴,例如下丘脑-垂体-甲状腺轴、下垂脑-垂体-性腺轴,同一个功能轴之内的器官存在正反馈和负反馈的调整作用,为了判断究竟是轴上的哪个环节出问题,往往还需要进行相应的激发或抑制试验。而以上这些检测或者试验,都需要抽血检测血液中的相应激素水平,所以住院期间频繁的抽血是必不可少的,这对于患者来说,是一种巨大的考验!因此,在办理住院之前,我就给小林打「预防针」,提醒他要有心理准备。听我说完以后,他一如既往地呵呵一笑「没事,我不怕抽血,但是你能不能让护士小姐姐们对我温柔一点呀?」

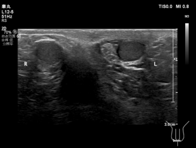
  #4检查有条不紊地进行中,相关结果陆续回复,真相也逐渐露出了水面......● 小林的甲状腺功能未见明显异常,皮质醇、ACTH 节律基本正常,最重要的性激素结果显示:促黄体激素(LH)和睾酮水平都明显低于正常值,FSH 位于正常值下限。图 3:性激素六项结果 来源:作者提供● 睾丸彩超提示:双侧睾丸体积明显偏小。图 4:睾丸彩超报告 来源:作者提供● 垂体 MRI 平扫 + 增强显示:垂体未见明显异常。图 5:垂体 MRI 增强来源:作者提供当这些检查结果摆在面前时,我基本上可以肯定之前的判断是正确的。接下来,距离确诊就剩最后一个步骤了——曲普瑞林兴奋试验:给小林肌肉注射曲普瑞林 100 ug,60 分钟后测得 LH 为 2.08 mIU/mL(< 4 mIU/mL),提示性腺轴未启动。曲普瑞林试验最后排除了体质性青春发育延迟,我们最终给小林明确了诊断:特发性低促性腺激素性性腺功能减退症(IHH)。

  #5(1). IHH 的定义与分类因先天性下丘脑促性腺激素释放激素(GnRH)神经元功能受损,GnRH 合成、分泌或作用障碍,导致垂体分泌促性腺激素减少,进而引起性腺功能不足,又称为先天性低促性腺激素性性腺功能减退症(CHH)。临床根据患者是否合并嗅觉障碍将 IHH 分为两大类:伴有嗅觉受损者称为卡尔曼综合征(Kallmann syndrome); 嗅觉正常者, 称为嗅觉正常的 IHH(normosmic IH, IH)。IHH是一种临床罕见的内分泌疾病,国外数据显示IHH总体发病率 1/100000 ~ 10/100000,男女比例为 5:1。国内数据尚缺乏。(2). 病因IHH 的病因尚不明确,目前已明确有包括 KAL1、FGFR1、FGF8、GnRH 等二十余种基因突变可导致 IHH。(3). 临床表现① 第一性征不发育和配子生成障碍:男性表现为童声、小阴茎、无阴毛生长、小睾丸或隐睾、无精子生成;女性表现为乳腺不发育、幼稚外阴和原发闭经。② 骨骺闭合延迟,上部量/下部量 < 1,指间距 > 身高,易患骨质疏松症。③ 嗅觉障碍:因嗅球和嗅束发育异常,40% ~ 60% 的 IHH 患者合并嗅觉减退甚至丧失,不能识别气味。④ 其他表现:面中线发育缺陷,如唇裂、腭裂;孤立肾;短指(趾)、并指(趾)畸形;骨骼畸形或牙齿发育不良;超重和肥胖;镜像(连带)运动等。(4). 诊断标准男性骨龄 > 12 岁或生物年龄 > 18 岁,尚无第二性征出现和睾丸体积增大,睾酮水平 < 3.47 nmol/L(100 ng/dL),促性腺激素「促卵泡激素(FSH)和黄体生成素(LH)」水平低或正常;女性到生物年龄 14 岁尚无第一性征发育和月经来潮,雌二醇(E2)水平低且促性腺激素水平低或正常;且找不到明确病因者,拟诊断本病 [1]。图 6:IHH 筛查及治疗方案流程图图源:特发性低促性腺激素性性腺功能减退症诊治专家共识(2015 版)(5). 治疗对于男性 IHH 的治疗方案主要有三种:睾酮替代、促性腺激素生精治疗、脉冲式 GnRH 生精治疗 [1]。临床上不同方案的选择,要结合患者的年龄、下丘脑-垂体-性腺轴的功能状态、生育需求、经济状况等多种因素来决定。● 三种方案的特点:睾酮替代治疗可以促进男性化,使患者能够完成正常性生活和射精;促性腺激素治疗可促进自身睾丸产生睾酮和精子;脉冲式 GnRH 治疗通过促进垂体分泌促性腺激素而促进睾丸发育。

  #6在确定治疗方案之前,我们又对小林进行了绒毛膜促性腺激素(HCG)兴奋试验,主要用来评估睾丸间质细胞的功能——测试睾丸在促性腺激素的作用下,能否正常分泌睾酮。图 7:HCG 兴奋试验结图源:作者提供HCG 试验后,小林的睾酮水平低于 3.47 mmol/L,提示睾丸分泌睾酮能力较差。考虑到他的年龄还较轻,能否尽可能地激发青春期全过程,促进睾丸、阴茎的发育,恢复第二性征,成了治疗的关键。● 根据目前的文献研究报告,GnRH 脉冲泵的治疗更接近于生理状态,促进睾丸发育和生精效果优于促性腺激素 [2-3]。但小林已经 19 岁了,错过了治疗的的最佳时间(14 ~ 18 岁)[4],治疗效果可能不理想。在充分交代病情后,他的家人还是希望能把握最后的机会,选择尝试 GnRH 脉冲泵治疗。图 8:GnRH 脉冲泵图来源:作者提供治疗后记:安装脉冲泵数天后,小林就顺利办理出院了。在佩戴脉冲泵治疗期间,我们需要定期复查他的性激素水平、阴茎长度、睾丸体积,来评估治疗效果。对于小林来说,接下来的事情只能交给时间了。小结:IHH 的发病率很低,临床上并不常见,所以在疾病早期往往容易被忽视或者漏诊,错过最佳的治疗时间。建议对于年龄超过 14 岁仍未出现第二性征或性腺发育(男性睾丸体积增大、女性月经来潮)的儿童,进行青春发育的相关检查,如有必要需进一步完善戈那瑞林 / 曲普瑞林试验,来鉴别体质性青春发育延迟和 IHH,争取早发现、早治疗,抓住最佳的治疗窗口,不给孩子留下终身遗憾。? 本文仅供医疗卫生等专业人士参考策划 | 琦敏投稿 | meiqimin@dxy.cn题图 | 站酷海洛??找不到你想要的,操作指引看一看~参考文献[1] 茅江峰, 伍学焱, 窦京涛. 特发性低促性腺激素性性腺功能减退症诊治专家共识 [J]. 中华内科杂志,2015,54(08):739-744.[2] 朱通, 李彦锋, 廖良功, 等. 促性腺激素释放激素泵治疗成年男性特发性低促性腺激素性性腺功能减退症的临床疗效与安全性观察 [J]. 中华生殖与避孕杂志,2017,37(04):261-267.[3] 黄炳昆, 茅江峰, 徐洪丽, 等. GnRH 脉冲输注与 HCG/HMG 联合肌注对男性 IHH 患者生精治疗效果比较 [J]. 中华医学杂志,2015,95(20):1568-1571.[4] 杨罗, 陈恒珊, 屈锐, 等. 男性特发性低促性腺激素性性腺功能减退症的诊治 [J]. 中华男科学杂志,2018,24(08):744-747.