Ki-67与CT影像学特征预测肺腺癌浸润程度的临床研究

   点击上方 蓝字 关注我们  了解更多资讯

  张潇文1,赵紫维2,叶冠志3,冯义辉3,朱晓雷3,耿国军3,姜杰3

  1. 厦门大学附属第一医院 胸外二科 厦门大学医学院(福建厦门  361003);2. 厦门大学附属第一医院 病理科 厦门大学医学院(福建厦门  361003);3. 厦门大学附属第一医院 胸外二科(福建厦门  361003)

  通信作者:耿国军,Email:ggj622@126.com;姜杰,Email:jiangjie06@126.com

  关键词:肺结节;Ki-67;免疫组织化学;诊断;影像特征;肺癌

  引用本文:张潇文, 赵紫维, 叶冠志, 冯义辉, 朱晓雷, 耿国军, 姜杰. Ki-67与CT影像学特征预测肺腺癌浸润程度的临床研究. 中国胸心血管外科临床杂志, 2022, 29. doi: 10.7507/1007-4848.202203046

  摘  要

  目的 探讨Ki-67与CT影像特征预测肺腺癌浸润程度的效能。方法 回顾性分析2017年 9月—2021 年 8月厦门大学附属第一医院经肺癌多学科综合诊疗门诊判断为可疑肺癌且术后证实为肺恶性肿瘤217例肺结节手术患者的临床资料,其中男84例、女133例,年龄52(25~84)岁。根据肺腺癌浸润程度,将患者分为两组,即原位腺癌和微浸润性腺癌组(145例),浸润性腺癌组(72例)。结果 两组患者的年龄和性别差异无统计学意义(P>0.05)。单因素分析显示,两组患者CK-7、P63、P40和CK56表达差异无统计学意义(P值分别为0.172、0.468、0.827和0.313),而Napsin A、TTF-1和Ki-67表达差异有统计学意义(P值分别为0.002、0.020和<0.001);多因素分析显示两组间Ki-67表达差异有统计学意义(P<0.001)。Ki-67与CT影像恶性特征及肺癌浸润程度呈正相关(P<0.05)。Ki-67和CT影像特征可单独预测肺腺癌浸润程度,但其灵敏度和特异性不高,Ki-67联合CT影像特征能达到更高的预测效能。结论 相较于Ki-67和CT影像特征单独预测肺腺癌浸润程度,两者联合预测效能更优,对于临床医生选择合适的手术时机有重要意义。

  

  正  文

  随着肺低剂量胸部CT的普及,早期癌症的筛查率在逐步提高,但肺癌仍然是影响和威胁人类健康的最大危险因素[1],因此提高临床医生判断肺结节的敏感性和判断良恶性的准确性是非常必要的。Ki-67是一种与增殖相关的核抗原,标记了增殖周期内的全部癌症抗原。Ki-67可识别除G0外的G1、S、G2和M期细胞。Ki-67增长指数与许多肿瘤的分化程度、侵袭转移及预后密切相关。因此,它被广泛用作各种肿瘤的标记物,是恶性肿瘤预后的重要参考。标记物阳性率越高,肿瘤生长越快,组织分化越差[2]。许多肿瘤细胞Ki-67水平显著升高,特别是肺癌,无论是非小细胞肺癌、小细胞肺癌,还是肺神经内分泌癌[3]。大多数研究[4]探讨了Ki-67与肺癌病理类型的相关性,也有学者[5]证明Ki-67水平与肺结节的直径、密度及分叶征有关。Ki-67的表达在结直肠癌[6]、乳腺癌[7]等肿瘤中也具有预测价值。本研究的主要目的是探讨肺腺癌的CT表现与Ki-67表达水平之间的关系,对术前通过非侵入性方法判断肺结节的浸润程度有重要意义。

  

  1   资料与方法

  1.1   临床资料与分组

  回顾性分析2017年 9月—2021 年 8月厦门大学附属第一医院经肺癌多学科综合诊疗门诊判断为可疑肺癌且术后证实为肺腺癌的217例肺结节手术患者的临床资料,其中男84例、女133例,年龄52(25~84)岁。所有患者术前常规行胸腹部CT 检查、全身骨显像和颅脑CT,以明确病变位置、大小、有无向外浸润及与周围器官的关系,及其它评估心肺功能的检查。纳入标准:(1)年龄 18~85岁;(2)影像提示可疑恶性结节;(3)胸部薄层 CT 检查、颅脑 CT、上腹部 CT/腹部超声等常规检查无转移,必要时行骨扫描、头颅磁共振、正电子发射计算机断层显像等检查未发现肿瘤明显外侵及远处转移;(4)无明显手术禁忌证。排除标准:(1)影像学资料或术中发现有转移的恶性肿瘤;(2)心肺功能无法耐受的患者;(3)患有其它恶性肿瘤病史。根据肺癌浸润程度,将患者分为两组,原位腺癌(adenocarcinoma in situ,AIS)及微浸润性腺癌(minimally invasive adenocarcinoma,MIA)组(145 例),浸润性腺癌(invasive adenocarcinoma cancer,IAC)组(72 例),两组患者临床资料见表1。

  表1 两组患者一般资料比较[例//M(P25,P75)]

  AIS:原位腺癌;MIA:微浸润腺癌;IAC:浸润性腺癌

  1.2   方法

  患者就诊于我院肺癌多学科综合诊疗门诊,该团队由胸外科、影像科、病理科、呼吸内科、肿瘤内科、放疗科副高职称及以上专家组成。先由影像科医师读片分析,评估每个结节的大小、性质、平均CT值、分叶征、毛刺征、血管穿行、空泡征、胸膜凹陷征。对于有异议或无法鉴别良恶性的肺结节,经共同商议后达成一致。后由内外科医师提出诊疗意见,并达成统一。

  1.3   评判标准

  结节大小:按照肺窗上最大横截面长径与垂直短径的平均值进行测量。结节性质:按照能否完全遮盖住肺组织,将结节分为纯磨玻璃结节、混合磨玻璃结节及实性结节,并计算其实性成分比例(consolidation-to-tumor ratio,CTR)。CTR=(实性成分最大径/磨玻璃影成分最大径)×100%。病理医师根据2015版WHO肿瘤分类判断[8]。肺结节征象包括:毛刺征、空泡征、胸膜牵拉征、分叶征、血管集束征。

  1.4   统计学分析

  应用SPSS 25.0软件进行统计学分析。符合正态分布或近似正态分布的计量资料用均数±标准差()描述,组间比较采用独立样本t检验;偏态分布计量资料采用中位数(上下四分位数)[M(P25,P75)]描述,组间比较采用Wilcoxon检验;计数资料采用例数及构成比描述,组间比较采用χ2检验,等级资料采用秩和检验。绘制影像特征、Ki-67及联合指标预测浸润程度的受试者工作特征(receiver operating characteristic,ROC)曲线。多因素分析指标进行多重共线性分析,容差值位于0~1且均>0.1,方差膨胀系数(variance inflation factor,VIF)均<10认为变量间不存在多重共线性问题。P≤0.05为差异有统计学意义。

  1.5   伦理审查

  本研究已通过厦门大学第一附属医院医学伦理委员会审批,批准号:XMYY-2022KYSB118。

  

  2   结果

  2.1   患者一般资料

  两组患者性别(P=0.529)和年龄(P=0.246)差异无统计学意义,而吸烟史(P=0.036)、肿瘤大小(P<0.001)和手术方式(P<0.001)差异有统计学意义。手术方式以解剖性肺叶切除+系统性淋巴结清扫为主;见表1。

  2.2   Ki-67表达与肺腺癌浸润程度的关系

  单因素分析显示,两组患者在免疫组织化学指标CK-7、P63、P40和CK56表达方面差异无统计学意义(P>0.05),而TTF-1、Napsin A和Ki-67差异有统计学意义(P<0.05)。多因素分析显示,两组患者Ki-67差异仍有统计学意义(P<0.001),提示Ki-67和肺腺癌浸润程度高度相关;见表2。

  表2 肺腺癌免疫组织化学指标单因素与多因素分析结果

  根据ROC曲线,计算约登指数,得出Ki-67的最佳临界值为15%;见图1。Ki-67≤15%的患者在AIS+MIA组有92例(63.4%),在IAC组有30例(41.7%);Ki-67>15%的患者在AIS+MIA组有53例(36.6%),在IAC组有42例(58.3%),经χ2检验,差异有统计学意义(P=0.002)。结果提示,肺腺癌的浸润程度越深,患者的Ki-67表达程度越高;见表3。

  

  图1 影像特征及Ki-67与肺腺癌浸润程度的ROC曲线

  表3 Ki-67表达与肺腺癌浸润程度的关系[例/例(%)]

  AIS:原位腺癌;MIA:微浸润腺癌;IAC:浸润性腺癌

  2.3   Ki-67表达与CT影像学特征的关系

  根据Ki-67指标的最佳临界值分组,两组患者进行χ2检验,结果显示CTR、胸膜凹陷征、毛刺征、空泡征、分叶征、血管集束征在不同Ki-67表达水平(≤15%及>15%)患者间差异均有统计学意义(P<0.05)。表明恶性征象越明显的肺结节,其Ki-67表达程度越高;见表4。

  表4 Ki-67表达与CT影像学特征的比较(例)

  CTR:实性成分比例

  2.4   CT影像学特征与Ki-67分别预测肺腺癌浸润程度

  肺部影像学特征与Ki-67的表达程度预测肺腺癌浸润程度的ROC曲线分析显示,Ki-67曲线下面积(area under the curve,AUC)为0.761,敏感度和特异性分别为78.9%和73.3%;CTR的AUC为0.728,敏感度88.7%,但特异性仅为55.5%;血管集束征和胸膜凹陷征的AUC分别为0.814和0.852,血管集束征的敏感度和特异性分别为90.1%、72.6%,胸膜凹陷征的敏感度和特异性分别为93.0%、77.4%;毛刺征的AUC为0.599,敏感度和特异性分别为94.4%和25.3%;空泡征的AUC为0.660,敏感度和特异性分别为43.7%和88.4%;见表5。

  表5 CT影像学特征与Ki-67分别预测肺腺癌浸润程度

  CTR:实性成分比例;AUC:曲线下面积

  2.5   CT影像学特征联合Ki-67预测肺腺癌浸润程度

  根据logistic单因素回归分析结果,毛刺征(P=0.225)与空泡征(P=0.120)预测效能没有统计学意义(P>0.05),可能是由于肺结节在生长过程中向外牵拉有时与炎症难以鉴别,同时也会受主观因素的影响。其余影像特征及Ki-67预测效能均具有统计学意义(P<0.05)。将有统计学意义的结果再进行多因素分析,差异仍然有统计学意义。将胸膜凹陷征、血管集束征、分叶征、CTR及Ki-67(将以上指标称为联合指标)进行多重共线性分析,结果显示自变量之间不存在线性相关关系,具有预测意义;见表6。

  表6 CT影像学特征联合Ki-67预测肺腺癌浸润程度

  CTR:实性成分比例

  将联合指标通过二元logistic回归得出预测概率,再计算出ROC曲线,可以通过ROC曲线结果得出联合指标AUC=0.975,95%CI(0.957,0.993),其敏感度为97.2%,特异性为90.3%,均>90%,P=0.000;见图2。提示联合指标预测肺腺癌浸润程度具有较高的预测价值。

  

  图2 CT影像学特征联合 Ki-67预测肺腺癌浸润程度的ROC曲线

  

  3   讨论

  由于肺癌的发生率仍然很高,对于早期疾病筛查及预测预后至关重要[9]。随着胸外科门诊前来就诊的肺结节患者越来越多,对临床医师判断肺结节的良恶性并及时识别其恶性特征的要求也越来越高。以往的研究表明,结节的直径越大,浸润程度更深[10-12],CTR、胸膜凹陷征、毛刺征、空泡征、分叶征、血管集束征是恶性肿瘤的独立危险因素[13-16]。所以在面对肺结节时,更多的是通过其影像学特征来判断结节的良恶性。那么,是否可以通过影像学特征来判断恶性肺结节的浸润程度并判断预后?故本研究探讨肺腺癌免疫组织化学与肺癌浸润程度的关系,并探究免疫组织化学与肺结节影像学特征的联系。

  免疫组织化学是术后病理最常见到的一组指标,其实就是抗原与抗体特异性结合的原理,通过化学反应使标记抗体的显色剂(荧光素、酶、金属离子、同位素)显色来确定组织细胞内抗原(多肽和蛋白质),对其进行定位、定性及相对定量的研究[17]。肺癌常见的免疫组织化学指标有CK7、P63、P40、CK5、Napsin A、TTF-1及Ki-67,我们也根据其表达与否及表达程度不同来判断为哪种类型的肺癌及预后[18]。在本研究中,CK-7、P63、P40和CK56与肺癌浸润程度无相关性,而Napsin A、TTF-1及Ki-67与肺癌浸润程度相关。这一结论与Ma等[19]的研究结果一致,他们证明了Napsin A的表达水平是影响肺癌患者生存的独立因素。在Schilsky等[20]的预后研究中,TTF-1阳性患者的总生存期明显长于TTF-1阴性患者,TTF-1和 Napsin A的组合可能对腺癌产生更高的敏感性[21]。但这两种指标更多与肿瘤分化类型相关,所以应该同时分析多个指标而不是1个。

  Ki-67蛋白最初是由一种通过用霍奇金淋巴瘤细胞系L428的细胞核免疫小鼠而产生的单抗Ki-67定义的[22]。Ki-67蛋白由位于10号染色体(10q25)长臂上的一个基因编码,其生物学功能尚未确定。但Ki-67与核糖体RNA转录有关[23],因此,Ki-67的失活会导致核糖体RNA合成的抑制。Ki-67被广泛认为是细胞增殖的标志,主要表达在细胞周期的活跃期,即G1期、S期、G2期和有丝分裂期。Ki-67与肿瘤分化程度显著相关,因此我们可以用它来指示癌症患者的疾病进展和预后[4,24]。甚至Ki-67指数可以预测晚期非小细胞肺癌的化学治疗疗效,也是无进展生存期缩短的一个指标[25]。因此,在术前通过无创方法预测Ki-67的表达程度将有助于指导治疗和预后。

  Ki-67在恶性肿瘤中的价值已经得到越来越多学者的论证,所以本研究将Ki-67和结节影像学表现联系起来,探究它们之间的关系。CTR、胸膜凹陷征、毛刺征、空泡征、分叶征和血管集束征提示肺恶性结节,肺结节由纯磨玻璃结节发展至混合磨玻璃结节是一个惰性的过程,当纯磨玻璃结节的形状、密度开始发生变化,甚至牵拉周围胸膜及血管时,应当引起临床医生的高度重视。本研究结果提示,当影像学提示肺恶性结节时,可预测Ki-67表达程度,从而预测其浸润程度。根据ROC曲线结果,Ki-67、CTR、血管集束征、胸膜凹陷征、分叶征的AUC均>0.7,其中Ki-67、胸膜凹陷征、血管集束征均具有较高的特异性和敏感度,预测价值较高,故在预测肺腺癌浸润程度时联合Ki-67和影像学特征得出的结论更可靠。同时本研究分析了肺腺癌的浸润程度(AIS/MIA/IAC)和Ki-67表达水平之间的相关性。将Ki-67分为≤15%和>15%两个水平,对不同的病理结果进行分析,发现差异有统计学意义(P=0.002)。这些结果表明从AIS/MIA到IAC的进展过程中,随着浸润程度增加,Ki-67表达增加。某晚期肺癌患者,伴有多发胸膜转移,Ⅳ期,术后Ki-67表达为50%;见图3。1例患者结节为典型的混合磨玻璃荷包蛋样结节,牵拉周围胸膜,出现分叶、毛刺、血管集束,术后患者病理结果为IAC,Ki-67表达为10%;见图4。另1例患者结节CTR较低,但也包括上述恶性征象,术后病理为MIA,Ki-67表达为3%;见图5。随着实性成分增多,细胞增殖越旺盛,肿瘤生长速度越快,Ki-67表达增加,复发和转移风险也增加。Ki-67不仅可以判断早期腺癌的预后,还可以评估晚期肺癌的复发和转移风险[26]。目前已经证明,对于直径≤2 cm、CTR>0.5的外周型非小细胞肺癌,肺段切除术应该取代肺叶切除术成为标准手术方式,生存率与肺叶切除术无明显差别[27]。有学者[28]证明Ki-67是早期肺腺癌患者肺段切除术复发的独立危险因素,故术前无创性预测Ki-67的表达对于手术方式的选择至关重要。当然,不能仅凭单一指标进行预测,还需要结合肺结节影像学表现、术后病理亚型及其它免疫组织化学结果进行综合评估。

  

  图3 晚期多发转移肺癌患者影像学表现及病理

  a:该结节(箭头)长4.61 cm×4.81 cm,有明显的分叶、毛刺和血管集束征,CTR>50%,伴有多发胸膜转移,组织病理学证实为IAC,Ⅳ期;b:Ki-67表达50%(×200);CTR:实性成分比例;IAC:浸润性腺癌

  

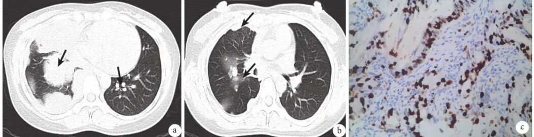
  图4 混合磨玻璃结节肺癌患者影像学表现及病理

  a:结节(箭头)长1.3 cm×0.8 cm,有分叶、毛刺、胸膜凹陷和血管集束征,CTR<50%,组织病理学证实为IAC,ⅠA2期;b:Ki-67表达10%(×200);CTR:实性成分比例;IAC:浸润性腺癌

  

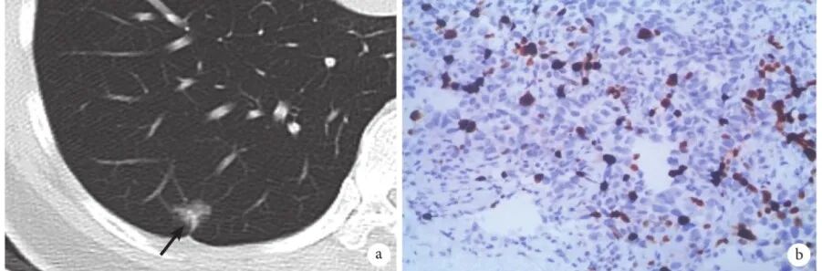
  图5 CTR较低的混合磨玻璃结节肺癌患者影像学表现及病理

  a:该结节(箭头)长1.0 cm×0.8 cm,有空泡征、分叶状、毛刺、血管集束征,CTR<25%,组织病理学证实为MIA,ⅠA1期;b:Ki-67表达3%(×200);CTR:实性成分比例;MIA:微浸润腺癌

  综上所述,Ki-67 的表达与肺腺癌的 CT征象及浸润程度有关。Ki-67表达越强,肺腺癌浸润程度越高。因此,CT征象可以间接反映肺腺癌的增殖活性,对于通过无创性方法来判断肺腺癌的诊断、治疗和预测预后有重要意义。

  利益冲突:无。

  作者贡献:张潇文负责选题与研究的设计,撰写论文;赵紫维负责文献筛选和统计学分析;叶冠志、冯义辉、朱晓雷负责论文撰写和修改;耿国军、姜杰设计主题和审校文章。

  参考文献略。

  

  作者介绍

  通信作者:耿国军

  

  厦门大学附属第一医院 胸外二科,医学博士,副教授,硕士研究生导师。

  海峡两岸医药卫生交流协会胸外科分会常委兼副总干事

  中国医药教育协会胸外科专委会秘书

  福建省海峡医药卫生交流协会闽赣胸外科协作组副主任委员

  福建省医学会胸外科分会青年委员会副主任委员

  福建省医学会胸心血管外科学分会青年委员会副主任委员

  中国妇幼保健协会妇幼微创专委会小儿胸外微创学组委员

  福建省抗癌协会肺癌专业委员会青年委员

  福建省抗癌协会食管癌专业委员会委员

  福建省医学会创伤学分会委员

  《中国微创外科杂志》编委

  《中国胸心血管外科临床杂志》青委

  通信作者:姜杰

  

  姜杰,主任医师、教授、博士、博士研究生导师、厦门市拔尖人才、国务院政府特殊津贴专家、中国医师奖获得者、中国医院优秀院长获得者。原厦门大学附属第一医院院长、厦门大学附属第一医院学术委员会主席、专家委员会执行主任。

  学术任职:《中国微创外科杂志》、《中国胸心血管外科临床杂志》《现代医院管理》、《中华医院管理杂志》编委,《中国卫生标准管理》,《中国继续医学教育》副主编。亚洲腔镜学会委员、世界华人胸外科学会常务理事;中华医学会胸心外科分会全国委员、中国医师协会智慧医疗专业委员会副主任委员、中国医师协会常务理事、中国医师协会胸外科医师分会常委兼副总干事;海峡两岸医药卫生交流协会胸外科专业委员会主任委员、海峡两岸医药卫生交流协会医院管理专业委员会副主任委员;福建省医师协会副会长、福建省海峡医药卫生交流协会会长、厦门市医师协会会长、厦门市医学会胸心外科分会名誉主任委员。

  科研成果:主持参与了多项临床科研课题,其中《电视胸腹腔镜手术多学科临床应用的研究》被评为1997年厦门市科技进步二等奖,《经电视胸腔镜、纤维支气管镜介入诊疗新技术系列研究》获2010年福建省医学二等奖,《VATS在胸外科手术中的系列应用研究》获2014年厦门市科技进步二等奖,《互联网医疗健康服务平台》获2018年厦门市科技进步奖二等奖。近年来,在国内、外医学刊物上发表论文60余篇,SCI收录十余篇。主编出版专著四部《健康中国蓝皮书:社区首诊与健康中国分析报告(2017)》、《从规模到精细化服务—大型公立医院转型的探索与实践》、《胸外科电子病历管理》、《肺结节交互印证式诊断100例分析》,参与编著《胸外科疾病标准化诊疗术语》。获十项国家专利,其中一项发明专利;三项实用新型专利;六项计算机软件著作权。

  学术成果:作为国内有影响的胸外科专家,具有扎实专业理论和丰富的临床经验。承担所属专业领域复杂疾病的会诊和治疗工作,是福建省胸外科领域带头人之一。高质量完成大量肺、食管及纵隔等肿瘤外科手术治疗,并能出色完成乳腺癌的早期诊断,手术治疗和术后综合治疗以及各类乳腺疾病的诊断和治疗。由他所领导的厦门大学附属第一医院胸外科手术台数居福建省前列。在科研方面,姜杰教授一直从事肺癌及食管癌早期诊断、早期治疗、肺癌及食管癌的综合治疗等研究,近年来致力于胸外科信息一体化诊疗平台的建设与研究。2016年、2017年姜杰教授作为厦门首位参加国际腔镜手术大会的医生,高水平展示《3D胸腔镜在食管癌手术中的临床应用》等学术报告,赢得国内外同行的一致认可。

  推荐阅读

  上肺特异侧枝静脉的三维影像研究及其临床意义

  肺部肿瘤影像辅助诊断分类算法研究进展

  单向式胸腔镜基底段切除术352例的单中心回顾性研究

  3D-CT重建联合3D模型打印技术对双侧肺动脉解剖结构类型的分析及临床应用

  基于术中快速冰冻切片指导外周型直径≤2 cm肺结节手术决策的胸外科专家共识

  长按或扫描二维码关注我们!