【论著】同时伴有LDLRAP1及ABCG8基因异常的家族性高胆固醇血症一家系的临

   点击标题下「蓝色微信名」可快速关注

  文章来源:中华检验医学杂志, 2022,45(3) : 252-259

  作者:李佳明 彭真萍 丁秋兰 王学锋 金佩佩

  摘要

  目的

  探究同时伴有低密度脂蛋白受体衔接蛋白1(LDLRAP1)及胆固醇转运蛋白三磷酸腺苷结合盒转运体G8(ABCG8)基因异常的家族性高胆固醇血症(FH)一家系的临床及分子生物学特征。

  方法

  2020年9月于上海交通大学医学院附属瑞金医院收治1例FH患者,采集该家系成员外周静脉血样本,检测血清总胆固醇(TC)、甘油三酯(TG)、低密度脂蛋白胆固醇(LDL-C)和高密度脂蛋白胆固醇(HDL-C);用高效液相色谱法检测血清豆固醇和谷固醇含量。二代基因测序检测先证者及家系成员基因变异情况。采用Pymol软件对基因变异位点进行致病性分析,并使用Uniprot Modelling软件行蛋白结构建模。

  结果

  先证者表现为贫血合并多部位黄色瘤、早发急性冠状动脉综合征。冠状动脉造影示冠状动脉三支严重病变;腹部超声示脾肿大;血涂片示异型红细胞、大血小板散在可见;血清TC、LDL-C、豆固醇和谷固醇浓度均升高[分别为8.54 mmol/L(正常值2.3~5.7 mmol/L)、4.84 mmol/L(正常值1.3~4.3 mmol/L)、44 μmol/L(正常值1.0~10 μmol/L)、28 μmol/L(正常值1.0~15 μmol/L)]。基因测序示:LDLRAP1:NM_015627.2:exon 4 c.415 C>T(p.Q139X),该纯合突变形成的蛋白截断体丢失多个稳定蛋白结构区域,不具备正常功能。同时,先证者发现ABCG8基因变异:exon13 c.1895T>C(p.V632A),exon8 c.1199C>A(p.T400K)。2例家系成员HDL-C增高(Ⅱ5:2.33 mmol/L,Ⅱ6:2.96 mmol/L);3例带ABCG8基因变异的成员豆固醇(Ⅱ8:23 μmol/L,Ⅱ7:24 μmol/L,Ⅰ2:18 μmol/L)、谷固醇(Ⅱ8:41 μmol/L,Ⅱ7:33 μmol/L,Ⅰ2:45 μmol/L)轻度增高。

  结论

  同时伴有LDLRAP1及ABCG8基因异常的FH患者,可出现植物固醇浓度异常,其临床表现更加复杂,应综合考虑家族史及LDL-C、植物固醇水平及基因检测结果。

  家族性高胆固醇血症(familial hypercholesterolemia,FH)是一种严重的代谢系统遗传性罕见病,其临床特征是血清低密度脂蛋白胆固醇(low-density lipoprotein cholesterol,LDL-C)水平显著升高和高发心血管事件,纯合型FH(homozygous FH,HoFH)临床表现较为严重,其中HoFH患者冠状动脉硬化性心脏病在幼年即可发病,且进展快、病死率高[1, 2]。FH通常是一种常染色体显性遗传病,由低密度脂蛋白受体(low-density lipoprotein receptor,LDLR)途径相关的基因突变引起,如LDLR、前蛋白转换酶枯草溶菌素9(PCSK9)和载脂蛋白B(APOB)等基因突变[3]。此外,低密度脂蛋白受体衔接蛋白1(LDLRAP1)基因突变可导致常染色体隐性遗传的FH,又称为常染色体隐性家族性高胆固醇血症(autosomal recessive hypercholesterolemia,ARH)。

      

  LDLRAP1基因位于1号染色体上,其编码的LDLR衔接子蛋白可结合于LDLR胞内部分,对于LDLR蛋白的内化极其重要,如发生突变会导致LDLR内化缺陷,LDL降解速率减低,从而引起高胆固醇血症。LDLRAP1致病突变以纯合突变居多,并以常染色体隐性遗传方式进行传递。ARH与HoFH的临床特点相似,先证者动脉粥样硬化心血管疾病、主动脉瓣狭窄及猝死风险大大增加。尽管ARH先证者接受常规降脂治疗,但LDL-C血清水平仍然升高,提示此FH亚型的临床特异性。

  植物固醇血症也是罕见的遗传代谢病,发病率约1/20.7万,其主要临床特征为血清植物固醇水平增加,总胆固醇水平轻中度增高、多发皮肤肌腱黄色瘤及早发动脉粥样硬化等心血管疾病[4],由于临床表型酷似HoFH,也称为假性纯合型家族性高胆固醇血症。植物固醇血症的主要致病基因不同于家族性高胆固醇血症,为三磷酸腺苷结合盒转运体G5或G8(ABCG5/ABCG8)缺陷所致,分别由ABCG5、ABCG8基因编码。携带ABCG5/ABCG8纯合或杂合基因突变的先证者均可能造成血清胆固醇水平增高,并影响高胆固醇血症人群的临床表型和预后[5, 6]。

  由于FH与植物固醇血症遗传方式、致病基因、发病机制以及治疗方案完全不同,本研究讨论1例误诊为植物固醇血症的FH患者的诊疗过程,并总结先证者及家系成员的临床特征及基因表型,旨在为遗传代谢疾病的精准诊疗提供经验。

  对象与方法

  一、临床资料

  先证者,女性,35岁,2020年9月因“血小板减少”于上海交通大学医学院附属瑞金医院门诊就诊。自幼发现贫血,随年龄增长贫血逐渐加重,血红蛋白最低至65 g/L,并在肘部、膝部、臀部先后出现皮下结节样肿物(图1),分别于2017、2018和2019年在当地医院皮肤科行双肘部皮下结节切除术,病理诊断均提示:结节性黄色瘤;免疫组织化学染色示:组织样细胞CD68(+)、CD163(+)、CK(-)、CD1α(-)、S-100(-)、Ki-67 10%(+)。外周血涂片示:红细胞大小不一,可见口形、球形红细胞,血小板散在可见,8%为大血小板和巨血小板。血脂分析示:总胆固醇(total cholesterol,TC)8.16 mmol/L,LDL-C 5.91 mmol/L。自2020年8月以来,先证者反复感到活动后胸闷气促,心电图示:窦性心律,Ⅰ、Ⅱ、Ⅲ、aVF、V3~V6导联ST段下斜型压低1.0~2.5 mm,Ⅰ、Ⅱ、Ⅲ、aVF、V3~V6导联T波倒置。冠状动脉造影示冠状动脉三支严重病变,其中左前降支中段狭窄达70%,中段完全闭塞,右冠状动脉近端完全闭塞。胸、腹主动脉、肺动脉造影示:管壁钙化,管腔未见明显狭窄。血管超声示:双侧颈总动脉、颈静脉以及椎动脉见轻度狭窄。腹部超声示:脾肿大。脑部MRI平扫未见明显异常。结合先证者病史、临床表现及辅助检查结果,初步诊断:植物固醇血症。2020年8月行冠状动脉旁路移植术,术前查血常规示:WBC 5.55×109/L,血红蛋白69 g/L,血小板计数70×109/L,中性粒细胞68.8%;凝血功能指标结果未见明显异常。手术顺利,术后给予限脂饮食、依折麦布调脂及阿司匹林抗血小板治疗。2020年9月于瑞金医院外周血涂片检查可见红细胞大小不一,大血小板散在可见;血脂分析示:TC 8.54 mmol/L,LDL-C 4.84 mmol/L;血小板聚集功能示:二磷酸腺苷、胶原、花生四烯酸以及瑞斯托霉素诱导聚集功能降低。凝血因子未见明显异常。基因诊断示:LDLRAP1为该家系的致病基因变异。因此,先证者的诊断更正为FH。

  

  图1 先证者家系图谱

  先证者父母为近亲结婚,Ⅱ7和Ⅱ8均无血细胞减少,脾大及皮下结节病史,血脂未见明显异常。先证者(Ⅲ2)有兄弟姐妹3人,其妹妹(Ⅲ3)有贫血病史,血涂片未见口形红细胞及巨大血小板;其弟弟(Ⅲ4)和儿女(Ⅳ1、Ⅳ2)均无脾大、贫血、血小板减少等表现。该家系图谱见图1。本研究经上海交通大学医学院附属瑞金医院伦理委员会批准[(2019)临伦审第(54)号],各受试者及家属均签署知情同意书。

  二、方法

  1. 临床血液学检查:常规检测外周血计数血细胞数目(电阻抗法,迈瑞BC6800-PLUS血液分析仪),观察外周血片及细胞形态。外周血片和骨髓涂片进行瑞氏-吉姆萨染色后,在油镜视野下分别进行外周血片及骨髓涂片的有核细胞分类计数,骨髓涂片分类计数500个有核细胞,外周血片分类计数200个有核细胞。

  2. 血小板聚集试验:取患者富血小板血浆在血小板聚集仪(美国海伦娜公司)进行操作。分别以二磷酸腺苷(2 μmol/L)、凝血酶(0.4 U/L)、胶原(2 μg/mL)、花生四烯酸(0.5 mmol/L)、肾上腺素(0.4 μg/ml)、瑞斯托霉素(1.5 μg/ml)为激活剂,分别观察1、5 min及最大的血小板聚集时间。

  3. 临床生化分析:收集先证者及其家系成员空腹的外周血2.7 ml,离心后分离血清,分别于-20 ℃保存。全自动生化分析仪常规检测TC、甘油三酯(triglycerides,TG),高密度脂蛋白胆固醇(high-density lipoprotein cholesterol,HDL-C)和LDL-C,采用酶终点法(Beckman AU5800,美国贝克曼库尔特公司)。此外,血清标本送北京遗传病诊所进行检测。血清及标准品取200 mg/L豆固醇、50 mg/L二氢胆固醇和30 mg/L谷固醇标准品各0.1 ml放入试管中,分别加入1 mol/L氢氧化钾乙醇溶液1 ml,80 ℃皂化60 min,用3、2、1 ml正己烷连续萃取3次,萃取液用氮气吹干,取10 μl采用高效液相色谱测定,在235 nm的波长下测定吸光度值并采用外标法计算固醇含量。

  4. 基因检测:先证者的外周血送深圳荻硕贝肯公司行外显子测序,其余成员根据二代测序结果进一步检测。每个样品共取10 ng DNA通过PCR扩增,然后使用xGen? Lockdown?探针和xGen Hybridization and Wash Kit捕获文库;Illumina Hiseq测序仪进行了200X深度的双端测序。包括所有外显子整个编码区域和外显子-内含子边界在所有患者中进行筛查。该多基因面板预计将覆盖100%的目标区域。使用Covaris LE220将DNA剪切成短的遗传片段(150~200 bp),其中包括纯化和捕获的基因片段。使用Illumina样品制备试剂盒并制备接头连接的扩增子,通过探针捕获进行目标富集,使用VAHTS DNA Clean Beads纯化扩增子并在Illumina Hiseq Xten仪器上捕获。

  5. LDLRAP1基因Sanger测序及变异功能预测:收集先证者及其家系成员外周血,离心后分离血细胞,分别于-20 ℃保存;数据采用VarScan和GATK软件分析,包括质量评估、阅读比较、变异识别、变异注释、可视化和优先排序。使用ANNOVAR软件对变体调用格式文件进行注释,并使用这些变体的次要等位基因频率,根据ClinVar判断接合性、功能、基因内的位置和致病性。次要等位基因频率(minor allele frequency,MAF)根据1 000基因组计划、外显子组测序计划和外显子组聚合联盟数据库确定。新基因的性质突变根据美国学院建立的医学遗传学和基因组学(ACMG)指南确定[7]。筛选到的候选变异位点用Sanger测序验证(ABI3730xl测序仪,美国Applied Biosystems公司)。LDLRAP1基因突变的引物为:5'-GGTGGAGTGGGAATAGCAG-3';5'-GGTCACCTTTGGGTCCTG-3',然后对先证者家系进行基因致病突变点的验证。同时使用Uniprot Modelling对LDLRAP1蛋白进行结构建模,并使用Pymol软件对该蛋白的突变位置进行分析。

  6. 治疗及随访:给予先证者低胆固醇饮食,同时予瑞舒伐他汀(10 mg,1次/d)联合依折麦布(10 mg,1次/d)调脂治疗,监测肝肾功能并及时调整用药剂量。每月复查血常规及血脂检测并电话随访。随访时间从疾病确诊后接受治疗之日起,截至2021年5月10日。随访资料来源于先证者的门诊、住院病历资料及电话随访记录。

  结果

  一、血象及骨髓象

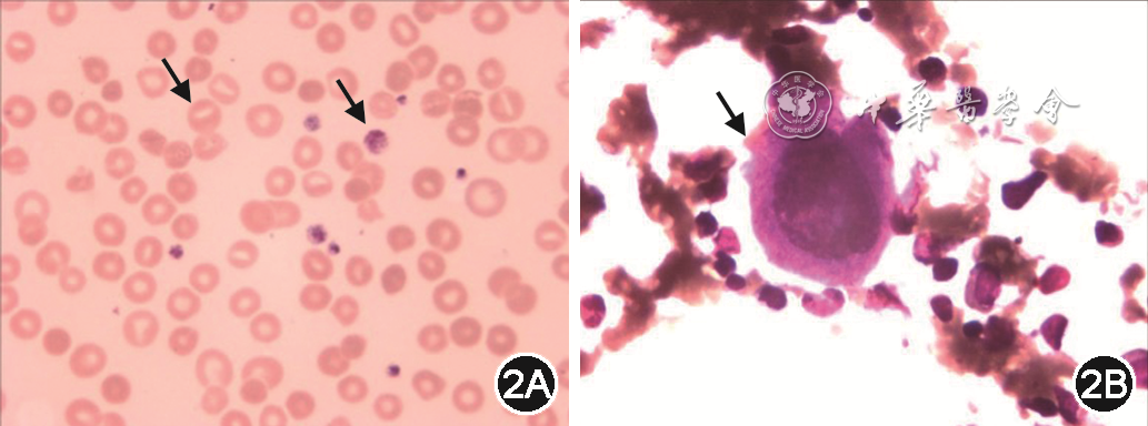
  先证者外周血血象特点:红细胞大小不一,可见异形红细胞,血小板散在可见,8%为大血小板和巨大血小板,家系成员外周血涂片未见明显异常(图2A);先证者骨髓象特点:骨髓增生活跃,巨核细胞数目及形态均未见明显异常,不同于植物固醇患者的骨髓象表现,后者通常表现增生活跃,巨核细胞成熟障碍(图2B)。

  

  图2 先证者外周血及骨髓涂片[2A:外周血涂片,可见为异型口型红细胞(蓝箭头所示)和大血小板(红箭头所示);2B:骨髓涂片,可见形态异常的巨核细胞(箭头所示)瑞士-吉姆萨染色 ×1 000]

  二、血脂及植物固醇分析

  家系成员血脂分析见表1。先证者TG、TC及LDL-C血清浓度增高,豆固醇、谷固醇水平明显升高,所有家系成员LDL-C未见明显异常,Ⅱ8(先证者父亲)、Ⅱ7(先证者母亲)、Ⅰ2(先证者外祖母)豆固醇升高,分别为23、24和18 μmol/L;谷固醇升高,分别为41、33和45 μmol/L;Ⅱ5和Ⅱ6 HDL-C升高,分别为2.33和2.96 mmol/L。

  

  三、基因变异及功能预测

  先证者基因检测结果示:LDLRAP1:NM_015627.2:exon 4:c.415C>T(p.Q139X),同时对家系成员进行Sanger测序证实LDLRAP1是该家系的致病基因变异(图3),为纯合突变。

  

  图3 先证者及其父母LDLRAP1基因测序图(3A为先证者基因纯合突变测序图,3B为先证者父亲基因杂合突变测序图,3C为先证者母亲基因杂合测序图,3D为正常对照基因测序图)

  LDLRAP1蛋白主要在一些带有极性的细胞例如肝细胞和淋巴细胞中发挥作用,功能为内吞LDLR所需的衔接蛋白。该蛋白全长为308个氨基酸,在Q139处发生终止突变,使其翻译获得的蛋白为不完整的截断体(图4),该截断体丢失多个稳定蛋白结构的α螺旋及β折叠结构域,可能会导致该蛋白被降解。即使该蛋白的1~138位结构稳定存在,但由于蛋白发挥功能需要249~276位氨基酸提供AP-2复合物结合[8]等功能,尤其是256位氨基酸在AP2B1蛋白结合中起到重要作用。因此可以推断,该突变形成的蛋白截断体不具有正常功能。

  

  图4 LDLRAP1蛋白区域结构图

  四、相关基因检测分析

  先证者血脂结果提示,LDL-C及植物固醇均升高,进一步行全外显子测序发现患者存在2种ABCG8基因多态性:NM_022437.3:exon13:c.1895T>C(p.V632A)和NM_022437.3:exon8:c.1199C>A(p.T400K)。NM_022437.3:exon13:c.1895T>C(p.V632A)的MAF为99%,该变异分析为良性;NM_022437.3:exon8:c.1199C>A(p.T400K)的MAF为99%,该变异分析为良性。所有家系成员行ABCG8基因测序结果见表2。携带上述基因变异的先证者及3例家系成员(Ⅰ2及Ⅱ7、Ⅱ8),植物固醇浓度均升高,豆固醇分别为23、24和18 μmol/L;谷固醇分别为41、33和45 μmol/L。

  

  五、治疗及随访

  先证者接受饮食控制和药物治疗3个月后,血清LDL-C及植物固醇浓度仍未降至正常水平,且先证者皮下黄色瘤无消退。先证者的贫血表现随着植物固醇及LDL-C浓度下降而逐渐改善;外周血片仍可见巨大血小板,比例较前下降至5%左右,血小板计数维持在(50~100)×109/L。

  讨论

  临床上,FH患者通常伴有严重的LDL-C升高,一般在10岁前即可出现心肌梗死等症状。然而,ARH患者血浆胆固醇水平增高程度不及FH,心血管并发症出现较晚,其特征性表现为肌腱黄色瘤体积大而饱满,并且先证者的杂合父母可无血脂异常、腱黄瘤及心血管疾病等临床表现。本例患者除表现为轻度升高的LDL-C水平、早发心血管疾病以及饱满的黄色瘤以外,还伴有血液学异常,包括外周血细胞散在异形红细胞;血小板大小不一,可见大血小板。然而,红细胞和血小板形态异常是植物固醇血症先证者一种特殊的临床表型[9],在FH病例中未曾报道。因此,伴有异型红细胞和大血小板的患者极易被误诊为植物固醇血症。本家系成员进一步检测血清中植物固醇浓度发现,先证者及3例家系成员表现为植物固醇轻度增高。目前认为,血浆中的植物固醇可通过渗透扩散方式引起红细胞和血小板膜上的植物固醇含量增加而引发细胞形态异常。本例FH先证者出现难以解释的大血小板,推测可能与自身植物固醇浓度升高相关。

  应用DNA分析对定向家族进行筛查能够有效识别FH患者,对高血脂人群中进行代谢性疾病的筛查亦有广泛的指导意义。目前,我国成人冠心病患者中家族性高胆固醇血症检出率很低,相当一部分人群因得不到正规治疗而致死致残,尤其在儿童患者中,基因诊断的临床意义更为凸显[10, 11, 12]。FH作为遗传性疾病,目前已报道包含ABCG5和ABCG8基因在内的9个致病基因,包括LDLR、APOB、PCSK9、LDLRAP1、APOE、STAP1、LIPA[13]。其中最常见的致病基因,即被称为FH基因,包括LDL-R、PCSK9和APOB基因,其中LDLR基因突变是FH的主要病理基础。目前已发现在FH基因中,有超过数千个基因位点的突变可导致FH,其中以点突变常见,其次为插入或缺失突变。LDLRAP1基因突变频率较低,以纯合突变为主,杂合突变主要发生在具有近亲结婚史的家族中。以LDLR为中心的调控机制保证了胆固醇的动态平衡,而在LDLR结合、内化、降解和再循环过程中任一环节出现障碍,均可导致LDL-C的积聚,引发高胆固醇血症。

  目前,仅不到1/3的FH患者可发现LDLR、PCSK9、APOB及LDLRAP1基因突变,大部分临床诊断的患者检测不到上述基因的突变位点,提示FH可能存在其他致病基因。Tang等[14]对FH患者及家系进行167个脂质相关基因测序分析,发现EPXH2基因与LDL的内化障碍相关。此外,相关研究表明,ABCG5/G8纯合或杂合突变可能会影响血清胆固醇水平,并引发高胆固醇血症人群中不同的临床表型和预后[15, 16];同时ABCG5/G8基因变异可能会影响FH先证者对依折麦布、阿托伐他汀联合疗效[17];本例先证者携带的ABCG8T400K基因变异,已被证实与高水平的LDL-C显著相关[18]。然而,更多相关的新型FH致病基因,需要进一步研究和发现。

  FH的诊断基于血脂水平、家族史、体格检查以及基因分析。目前常用的FH临床诊断标准包括DLCN标准、SB标准、美国早期诊断早期预防组织标准。中国学者提出了关于中国人群简化的FH诊断标准,其中纳入了FH诊断中最具价值和代表意义的3个指标:LDL-C水平、跟腱黄色瘤以及FH相关基因突变[19]。根据我国人群血清胆固醇水平的特点以及FH的临床表现,于2018年发布的《家族性高胆固醇血症筛查与诊治中国专家共识》[20],为促进FH的早期诊断提供了重要依据。排除甲状腺功能减退、肾病综合征和肝内胆汁淤积等引起胆固醇升高的继发性因素以外,临床上遇到伴有血液学异常表现的FH患者,仍需要结合家族史和基因检测与以下疾病进行鉴别诊断。(1)脑腱黄瘤病,常染色体隐性遗传脂肪代谢障碍性疾病。脑腱黄瘤病先证者可伴有肌腱黄瘤、白内障和早发性动脉粥样硬化等临床表现;由于黄色瘤侵犯大脑,通常还伴有中枢神经系统症状。其致病基因为CYP27A1,该基因致病变异导致线粒体固醇27-羟化酶缺乏,使胆固醇合成胆酸受阻,引起胆固醇及其代谢产物在不同组织中沉积而发病。(2)植物固醇血症,为常染色体隐性遗传。植物固醇血症先证者体内有显著升高的血浆植物固醇浓度,以谷固醇水平升高为甚,部分先证者外周血表现为典型的口型红细胞和巨大血小板。可能是由于ABCG5/G8基因突变引起胆固醇和植物固醇在体内排除减少所致[21]。饮食控制和胆汁酸多价螯合剂或依折麦布对降低植物固醇血症先证者血脂效果良好。

  FH治疗策略包括生活方式改善、药物治疗、脂蛋白血浆置换、肝脏移植以及基因治疗等[22]。低胆固醇饮食、适度锻炼等健康的生活方式是FH治疗的基础措施,而药物治疗一般在FH诊断后便立即启动,他汀类药物为主的综合性治疗是家族性高胆固醇血症切实有效的首选治疗方案。近年来,多种新型药物上市,为FH患者带来新的希望[23]。若药物联合治疗效果欠佳,则可考虑脂蛋白血浆分离置换疗法。终生采取血浆置换术是FH患者的有效治疗手段之一;肝移植也是一个明确的可用于FH的治疗手段,其最佳治疗时期是在心血管事件发生以前。从根本上说,基因治疗是FH最有效的治疗手段,现有报道称,一种与治疗LDLR功能障碍相关的诱导性多潜能干细胞,已应用于FH的动物实验研究阶段[24]。

  先证者诊治过程中存在3个问题:(1)临床表现与植物固醇血症先证者极为相似而导致误诊。本例先证者以胸痛起病,临床表现为脾肿大、轻度贫血以及血小板减少,行骨穿亦表现为增生性贫血的骨髓象,因此,被误诊为植物固醇血症。事实上,合并大血小板、贫血的FH病例国内外均未见报道。(2)ARH仅靠基因检测才能诊断分型。本例FH先证者行基因检测,并未发现包括LDLR、APOB、PCSK9、APOE等常见FH基因的致病突变,而是提示LDLRAP1基因突变。ARH在临床上较为罕见,且治疗效果较其他FH欠佳。已有报道称,高胆固醇患者基因风险评分与心血管疾病显著相关[25],因此,基因检测对先证者的诊断和预后均有重要的临床意义。(3)先证者植物固醇及LDL-C水平均升高,使得治疗方案的选择更加艰难。尽管先证者已规律地接受他汀类联合依折麦布口服的降脂治疗,但LDL-C血清水平仍然升高。近期有学者证实,家族性高胆固醇血症患者的致病基因类型与新型降脂药物的疗效相关[26]。本例FH先证者携带的ABCG8 T400K基因变异,是否与原发耐药相关,有待进一步证实。

  综上,FH具有临床异质性,可同时合并外周血象的异常,容易与植物固醇血症诊断混淆。除对高胆固醇血症患者行常规的血脂分析外,植物固醇浓度测定以及包含ABCG5/8基因在内的基因检测,有助于FH的临床分型及个体化治疗方案的选择。

  参考文献(略)