自信满满地诊断了1例胆石性肠梗阻,结果惨遭打脸!

  

  好在结局都一样!

  胆石性肠梗阻在外科上并不少见,但也不如阑尾炎、胆囊炎这般寻常,往往成为高年资医生的带教病例。不过,临床工作最忌讳先入为主,思维定势容易让人陷入被动。病例介绍

  一位56岁的男性1天前开始出现间歇性左侧腹痛、恶心和呕吐,且停止排便24小时。患者之前无类似发作,也无既往史或手术史。随后医生为他进行体格检查,发现他的生命体征平稳,尽管看似“大腹便便”,但他的腹部并无压痛。触诊亦未发现任何腹部包块或腹股沟疝。肠鸣音正常。血液检查显示患者的白细胞计数升高至14×109/L,血红蛋白174g/L,血清电解质大致正常。

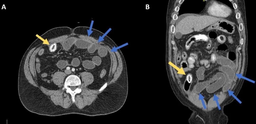
  腹部增强CT显示:远端回肠管腔内有一团3cm的高密度影,中心为低密度区,近端肠管扩张伴远端肠管塌陷,无胆道积气或胆囊壁增厚的征象(图1)。肝区超声检查未发现任何瘘管或胆结石。

  

  图1:腹部CT

  诊治经过

  阅片后,医生心里嘀咕,这如果还看不出是小肠梗阻,那估计影像学老师的脸蛋也要气得像梗阻扩张的肠管了。环状的高密度包绕低密度中心,这个“肉夹馍”或者“恶魔之眼”一般的怪物,不就是江湖传闻的“胆石性肠梗阻”!遂叫来年轻医生们一番带教。这在肠管里“翻滚”的胆石有如小菜一碟,任你如何翻江倒海,逃不出我胸有成竹的蜜汁自信。十年磨一剑,还等什么,看我这外科圣手的剑——哦,不,是刀——柳叶刀。做好万全准备通过腹腔镜进行小肠切开取石术。如愿进入腹腔后,可见少量浆液性液体,肠管活性尚佳无坏死。然而,由于暴露受限,最终还是中转开腹。

  

  图2:术中所见如图2所示,术野可见大多数小肠扩张,肠梗阻远端的回肠末端塌陷,在其近端约30cm处的肠梗阻过渡点发现一腔内肿物,其余脏器探查无殊。在肿物近端沿肠管纵轴方向切开小肠,OH!造成患者肠梗阻的肇事者不是在肠管里“翻滚”的胆石,而是——平日里让你爱恨交加的桃核!

  

  图3:罪魁祸首及其大头照这是一个大小约4.0cm×3.0cm的桃核,表面横纵交错的地形地貌依然未被胃肠道里的消化液侵蚀。既然肇事者已经被捕,那就按照羁押程序让他在“锒铛入狱”前留个罪犯大头照的档案——医生们煞有介事地给桃核拍下了一张平片(图3)。术后,患者自诉浑然不知何时吞入这个桃核。尽管术后患者出现轻微的伤口血肿,但所幸的是有惊无险,桃核取出后患者的肠梗阻明显缓解,并于术后第5天出院。经验总结

  1654年Erasmus Bartholin首次描述了胆石性肠梗阻这种疾病,其病因是通过胆肠瘘的胆石在胃肠道中发生嵌顿。由于胆石在胃肠道的不同部位中可以“活动自如”——这称为翻滚现象(Tumbling phenomenon)[1]。胆石性肠梗阻多见于女性(女性与男性比例为3.5:1)和老年患者,尤其是60岁以上的患者。导致胆石性肠梗阻的其他因素包括长期胆石症病史、反复发作的急性胆囊炎和结石直径大于2厘米[1]。根据文献,在最终诊断为胆石性肠梗阻的患者中,大约40~50%有近期胆绞痛发作、黄疸或急性胆囊炎的病史[2-3]。然而,也许外科医生对胆石性肠梗阻这个名字已有“耳朵听出茧子”的感觉,加之影像学表现的相似性以及患者未能“和盘托出”误食的病史,因此在临床判断时医生往往容易先入为主,不易考虑到其他异物嵌顿引起的肠梗阻。当然,果核嵌顿引起的小肠梗阻并不常见。通常误食的果核通过胃肠道后不会引起并发症,但偶尔可能也会导致小肠梗阻,后者的原因可能是果核直接造成的嵌顿,或是继发肠胃结石(bezoar)的形成。最常见的嵌顿点是回肠管腔最窄的部位,即大约距回盲瓣50-75cm处,其他梗阻部位包括幽门、十二指肠、结肠和直肠[4]。果核嵌顿常见于懵懂无知的幼儿,成人多见于有胃肠道疾病的患者,尤其是结肠癌。其他诱因包括精神障碍或认知功能不全、牙齿缺失、消化不良(通常由于胃切除术)、肠腔狭窄、憩室病和克罗恩病等。果核嵌顿引起的临床表现与胆石性肠梗阻相似。但胆石性肠梗阻患者的腹平片可见Rigler三联征(肠管扩张、胆道积气、异位胆结石),而果核嵌顿不引起胆道积气。此外,由于果核是由硬如磐石的内果皮包绕内部软种子组成,腹部CT为两者的鉴别诊断带来了曙光。果核的CT表现为卵圆形低密度中心外包绕厚层的高密度影。此外,桃和杏等水果的果核表面呈脊状。值得注意的是,有时钙化的胆石也可表现为低密度中心外绕一层高密度影,但其高密度外层通常较薄,并且胆石通常是球形而非卵圆形[5-7]。下次再与这类肠梗阻狭路相逢,你还认为这是“翻滚”的石头吗?须谨记,狭路相逢智者胜!欢迎加入外科急诊是每个外科医生成长的必经之路,充满荆棘坎坷,个中酸甜苦辣体会过的人自然懂。《周三夜急诊》是医学界外科频道新设立的常驻专栏,旨在为大家分享有趣的外科急诊病例,总结急诊外科诊疗经验。欢迎各位同道一起讨论诊治得失,也欢迎大家投稿原创病例。如有需要,可在后台留言申请入群。

  病例来源:Syed AS, Bonte A, AllahamLA, Goodman ER. Peach pit impaction presenting as gallstone ileus. BMJ CaseRep. 2020 Jul 28;13(7):e235363.参考文献:[1]TurnerAR, Sharma B, Mukherjee S. Gallstone Ileus. [Updated 2020 Jun 24]. In:StatPearls [Internet]. Treasure Island (FL): StatPearls Publishing; 2020 Jan.[2]Inukai K, UeharaS, Miyai H, Takashima N, Yamamoto M, Kobayashi K, Tanaka M, Hayakawa T. Sigmoidgallstone ileus: A case report and literature review in Japan. Int J SurgCase Rep. 2018;49:51-54.[3]Hussain J,Alrashed AM, Alkhadher T, Wood S, Behbehani AD, Termos S. Gall stone ileus:Unfamiliar cause of bowel obstruction. Case report and literaturereview. Int J Surg Case Rep. 2018;49:44-50. [4]Mullan CP, Siewert B, Eisenberg RL.Small bowel obstruction. AJR Am J Roentgenol 2012;198:W105–17.[5]Eisen GM, Baron TH, Dominitz JA, et al.Guideline for the management of ingested foreign bodies. Gastrointest Endosc2002;55:802–6.[6]Agramunt Lerma M, Errando Mariscal JM,Delgado Cordón F, et al. Small bowel obstruction caused by snail’s shell:radiographic and CT findings. J Comput Assist Tomogr 2002;26:543–21.[7]Lohn JWG, Austin RCT, Winslet MC.Unusual causes of small-bowel obstruction. J R Soc Med 2000;93:365–8.

  本文首发:医学界外科频道

  本文作者:CHENG KT

  责任编辑:快乐小杨

  版权声明

   本文原创 转载请联系授权

  - End -

  征  稿

  欢迎投稿到小编邮箱:wk@yxj.org.cn

  请注明:【投稿】医院+科室+姓名

  来稿以word文档形式,其他不予考虑