可能影响孩子一辈子!浙一专家:7岁一定要关注这件事

  这些年

  有关明星“整容”的新闻层出不穷

  还有女明星表示

  自己容貌天翻地覆的变化

  是因为“整了个牙”

  整牙真的能给人的外貌带来这么大的改变?

  

  浙江大学医学院附属第一医院专家表示

  牙齿正畸

  不仅能改变颜值

  更重要的是为了牙齿的健康!

  不会过早“老掉牙”

  何时才是最佳的牙齿正畸时间?

  很多人都不知道!

  11岁混血女孩越长越“丑”,

  竟是没做好这件事?

  “医生,我们家孩子这两年牙齿越长越乱,问了很多人说继续下去脸都会变形,让我们赶紧来看看。”在浙大一院口腔科副主任林军主任医师的专家门诊,一位棕发蓝眼、说着一口流利中文的“老外”拉着自己女儿着急地说,一边还从手机里翻出孩子小时候的照片给林军主任医师看。

  

  这个11岁的女孩叫灵灵(化名),母亲是波兰人,父亲是中国人,混血儿的她从小就长得像个洋娃娃,大眼睛、白皮肤、一头卷发,特别讨人喜欢,是小区里出名的“小美女”。

  灵灵6岁左右进入换牙期,颜值略微受到影响,但父母觉得这是正常过程,等孩子牙齿换齐了就好了。然而,随着灵灵牙齿基本换完,可“颜值”却还没回来,父母发现她嘴巴出现了明显的突出、下巴后缩,此时他们再仔细观察了下灵灵的牙齿,发现“乱糟糟”的,于是便出现了开头一幕。

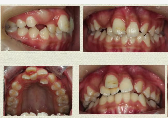
  灵灵一张开嘴巴,见过了许多“乱牙”的林军主任医师也惊了一下,用“满口乱牙”来形容一点也不夸张,灵灵的牙齿不仅有好几处互相“挤压”,门牙位置还出现了多生牙(同一个位置长出了好几颗牙)。

  

  一方面,错乱的牙齿本就会影响面容发育,另一方面,牙齿不齐也会造成错误的咀嚼方式,更进一步影响了她上下颌骨的发育,改变了面容。通过完善相关检查,以及追溯灵灵的生长过程,林军主任医师表示,灵灵的牙齿长成这样是基因、乳牙长期龋病未治疗等多种因素造成的。

  何时正畸最佳?

  竟是这个时间点!

  根据灵灵的情况,口腔科专家团队为她制定了治疗方案——先拔除多生牙,排齐牙齿,再戴上矫正器矫正上下颌骨,改变嘴巴前突、下巴后缩的面容。

  “如果在孩子刚开始换牙,或者一出现多生牙时就来就诊,早期干预,孩子面容可能没发生这么大变化,现在就变成一个长期的治疗过程,要关注灵灵恒牙的发育情况,也要关注她的上下颌骨,要跟踪治疗到18岁。”林军主任医师说。

  

  正畸前(左),灵灵下巴后缩严重;正畸后(右),明显改善

  “牙齿确实对人的容貌影响非常大,正畸不仅仅是让牙齿变得整齐漂亮、面部骨骼更流畅,还与口腔健康息息相关。由于牙齿不齐导致牙齿之间有很多角落无法通过刷牙清洁到,久而久之,牙龈炎、牙周炎、龋齿等问题就更容易发生,这些都是导致牙齿脱落、甚至口腔疾病的‘真凶’。”林军主任医师说。

  那么何时进行正畸是最佳时机?很多家长认为是等孩子牙齿全部换好了(12岁左右)再去就医筛查,这其实是非常错误的观点!

  

  专家表示,最佳的早期正畸筛查是7岁左右,因为孩子的颌骨发育异常是一个缓慢的过程,此时可以筛查孩子是否可能会出现多生牙、或是牙齿萌出困难等问题,早点发现孩子颌骨问题,可以提前进行咬合诱导,避免错颌畸形发展严重。如果忽视不管,等到换牙完成再矫正,会大大增加矫正的难度,甚至可能需要通过外科手术进行矫正。

  

  正畸前后对颜值的改变

  当孩子进行筛查后,并没有多生牙、牙齿萌出等问题,也没有颌骨方面的问题,父母之后可以关注孩子牙齿是否整齐,对于常见的牙齿错颌畸形的矫正,12-18岁都是正畸的最佳时间,因为这个阶段口腔内的恒牙大多数都已萌出,牙弓发育也已基本完成了,牙齿不齐也初步定型,但此时颌面部发育仍处于生长发育的快速期,修复效果最佳,牙齿矫正效果比较好,不易复发。

  乳牙保护也很重要,

  出现以下情况要警惕!

  不过,虽然儿童时期的矫正效果更好且代价较小,但成年后如果对牙齿“不满”,也仍可以进行矫正,此时虽然骨骼发育已经完成,矫正时间可能需要更长一点、麻烦一点,但只要口腔环境适合做牙齿矫正治疗,依然能够收到非常好的矫正效果。

  不过此时成人正畸前必须先进行牙周、口内情况检查,再根据口内情况制定治疗方案。

  

  浙大一院专家提醒,牙齿的保护是长达一生的事情,家长千万不要有“乳牙反正会掉,无所谓”的观念,乳牙的健康与未来恒牙的健康紧密相关,当孩子开始长乳牙时,就可以关注牙齿健康了,帮助孩子养成良好的口腔清洁习惯,定期进行口腔检查,把口腔隐患消灭在萌芽期。如果发现孩子出现乳牙反(地包天,即下前牙盖住上前牙)的情况,建议及时带娃面诊正畸医生。

  如果出现以下问题暂时不用担心,必要时可到口腔科正畸医生处进行检查。

  ?牙齿不齐,轻度拥挤

  ?牙缝有间隙(牙列间隙)

  ?上前牙盖住下前牙(轻度深覆合)