初高中生缺牙想种植,为何医生说NO?

  

  导读小姚同学今年大一,四年前因为打篮球意外撞缺门牙,当时医生说缺了现在不能补,要等十八岁再做种植。然而,真的必须“一缺四年”吗?谁来弥补他因缺牙而失去的时光?

  上初三时,小姚同学打篮球不慎撞缺一颗门牙,导致高中三年说话漏风,连英语朗读发音都不准,更不敢放声大笑,怕同学嘲笑,一度十分自卑。他咨询过医生,也通过网络了解缺牙的修复方式,但得到的答案要么是早做种植牙,要么18岁后再种。结果,他缺的那颗门牙空空如也了四年,然而,没有更好的办法了吗??

  

  近日,在长沙市口腔医院修复科咨询时,他才了解到虽然未到满18周岁才能做种植牙的年纪,但采取过渡修复的方法,恢复牙齿的美观和功能是完全可以的。

  18岁前颌骨未发育完全,不应做种植牙

  长沙市口腔医院友谊路院修复科胡柏主任医师介绍说,对于前牙缺失的修复,很多观点认为“即刻种植对骨量保存和即刻恢复美观有很大帮助”,但这是以颌骨、牙周组织、咬合稳定为前提的。目前,医学界普遍认为,人的颌骨发育完成早于身体发育,即女生16岁发育定型,男生18岁定型,从而形成“满18岁才能做种植牙”的说法。像小姚同学这种情况,因为颌骨未发育完全,无论是外伤还是人为的刺激颌骨,比如整形或者种植牙都会对颌骨生长发育产生不利影响,所以等到18周岁再做种植牙是比较合适的。

  

  缺牙不必一直空空如也,可以“过渡修复”

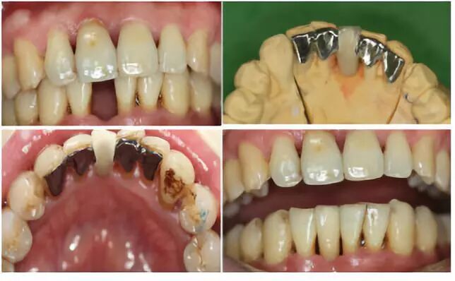
  不过,牙齿“裸奔”毕竟有碍观瞻,难于见人,而且牙齿功能缺损会影响咀嚼食物。对此,胡柏进一步介绍说,在暂时不能做种植牙的这四年里,小姚其实可以考虑“过渡修复”。目前,常见的“过渡修复”有活动义齿、弹性义齿、马里兰桥、利用邻牙的粘接固位。“过渡修复”不仅有助于维持美观和牙齿功能,更重要的是可以防止邻牙移位和对颌伸长(“对颌伸长”指下颌缺牙,上颌对应的牙长长,或者相反)。如果出现邻牙移位,不利于将来的美学修复和牙齿功能。

  

  △活动义齿修复

  

  △马里兰桥修复

  

  △树脂粘接桥修复(改良马里兰桥修复)

  综上,胡柏建议,如果小姚当时外伤后及时就诊,请医生根据情况采用合理的方案(比如“过渡修复”),是可以减少缺牙带来的不利影响,为成年后的修复创造条件的(比如满十八岁后种植牙)。

  文字:李桐军 排版:肖雄

  责编:易锋            王立凡