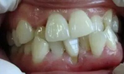
你的牙齿健康吗?我国90%成年人患牙周炎 !

  关注我们,每天都能收到这种好文章!

  微信号:LCYK668

  拥有健康、整齐、亮丽的牙齿是

  铜川雷闯口腔

  执着的追求!

  点击上方蓝字关注

  

   

  你真的了解自己的牙齿?它们真的健康吗?据统计,我国30岁以上成年人患牙周炎的比例占人口的90%。牙周炎会使牙齿脱落?

  

  即使牙齿流血、疼痛,或体检发现牙周炎,很多人也并不重视牙齿问题。因为它并不会立即危及生命。但实际上,跟心脑血管疾病一样,牙周炎也是一种慢性病。

  如果没有及时治疗,随着年龄的增长,牙周组织会逐渐萎缩,使牙齿暴露出来,显得牙齿很长,容易松动,最终不到年龄就脱落。

  而牙齿的脱落不仅影响外观,还会影响消化甚至造成心脏病。

  牙周炎可以引起脑血栓?

  俗话说,“病从口入”,“吃嘛嘛香”.说明牙齿的健康与全身健康密切相关。

  大家不要小看牙周病。从小的方面来说,牙周炎造成的是局部流血、红肿热疼,或牙齿松动。但从整体看,口腔内32颗牙齿的牙周表面积加起来其实不容小觑,如果发生炎症,将成为很大的病灶,危害健康。

  牙周炎的细菌可成为心血管系统细菌的来源,引发疾病。最新研究发现,一些病人脑血栓内部分细菌的基因与牙周细菌的基因一样。这提示,牙周的细菌可通过血液循环进入其他器官,进而在血管内以细菌为核心,慢慢形成血栓。

  以往报道显示,牙周炎与细菌性心内膜炎、血栓、慢性阻塞性肺气肿的发生密切相关。牙周炎和慢性阻塞性肺气肿的症状可以相互影响,甚至加重;而治疗牙周炎对慢性阻塞性肺气肿症状的缓解也有一定帮助。

  自己牙齿中的干细胞能治疗牙周炎

  患牙周炎的人这么多,但具体的病因医学界还不太明确。牙周炎的发生与经济水平、卫生条件、免疫炎症、基因调控、局部微环境、口腔菌群都有一定关系,可谓是综合因素。

  同时,治疗牙周炎的方法也很有限,包括刮治、洗牙等,都只停留在牙齿表面。但目前牙髓干细胞注射治疗牙周炎的方法带来了新希望。

  牙髓干细胞可以消减牙周炎症,使局部组织的再生能力恢复,长出新组织,并帮助局部微环境再平衡,从而治疗牙周炎。

  牙髓干细胞治疗牙周炎是指,取出自己牙齿中的干细胞,经过体外培养、扩增后,再将干细胞注入有牙周炎的牙齿周围组织。

  干细胞治疗牙周炎方法现在已经完成各项临床前研究,待国家药品申报后,就可用于牙周炎治疗。

  另外,人们应该从小保存自己脱落的牙齿,因为这些牙齿里包含珍贵的牙髓干细胞,可用于干细胞治疗。目前,我国也正在积极建立牙库,储存国人的牙齿,辅助口腔医学研究。

  打呼噜也和口腔问题有关系?

  打呼噜是睡眠呼吸障碍的一种症状,口腔的颌骨畸形,腭咽肌肉、舌头后缀,会阻塞气道,引起睡眠呼吸障碍。因此,口腔问题也是造成打呼噜的原因之一。

  这种情况下可以通过带矫正器,撑开呼吸通道,治疗这部分人的睡眠呼吸障碍。

  

  “口腔干燥”竟是自身免疫病?

  干燥综合征是一种主要伤害外分泌腺体的慢性炎症性自身免疫病,患病后,免疫、血液、神经、呼吸、泌尿系统都可能出现症状。口腔的腮腺属于外分泌腺体,因此也是疾病侵犯的对象,所以病人会出现唾液减少、口腔干燥等症状。

  

   

  一口晶莹洁白的牙齿,不仅直接关系到每个人的笑容形象、身体健康,也直接关系到每个人的气质与自信,潜移默化地影响到我们每天工作、生活中的状态。因此,如何让牙齿更健康、更美丽,成为越来越多的人关注的热门话题。

  

  赞   转   评   

  

  铜川雷闯口腔现招聘口腔执业医师、护士各5名。

   

  电话:18909196815   0919-6289188

   

  地址:耀州路锦阳什字